아하
  • 토픽

  • 스파링

  • 잉크

  • 미션


의료상담

하얀개리293

하얀개리293

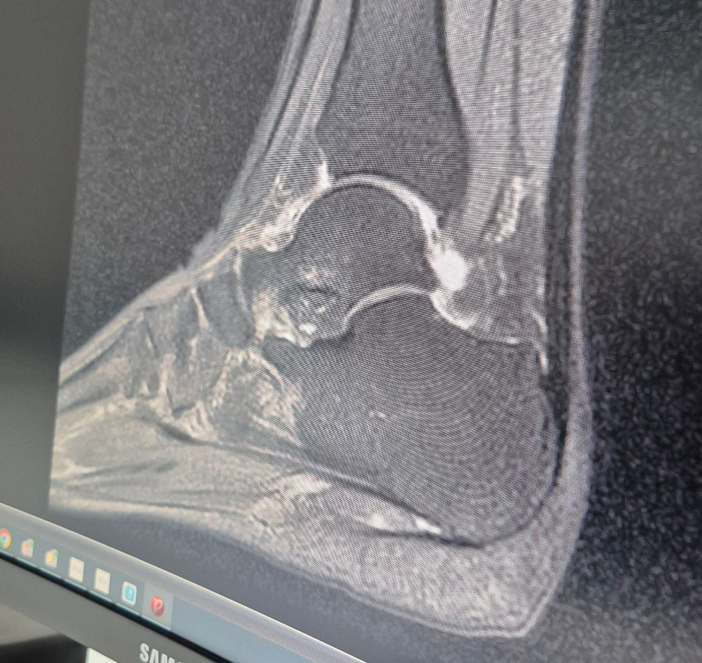
mri 거골 골절진단 상태가 어느 정도인가요?

성별

여성

나이대

26


1월 30일 오른쪽발 발병

mri는 15일 찍었어요 반깁스상태인데 오른쪽 발목 안쪽이 걸을때마다 아픈데 언제 쯤 괜찮아질까요?

  • 1번 째 사진
  • 2번 째 사진

1개의 답변이 있어요!

  • 최원제 의사

    최원제 의사

    울진군의료원

    안녕하세요. 영상의학과 전문의 최원제 의사입니다.

    올려주신 MRI사진상 거골에 경미한 골수부종 의심소견이 보입니다.

    하지만 MRI의 다른 시퀀스 사진이 있어 올려주신 사진만으로 진단하기에는 어렵습니다.

    사진을 찍으신 병원에서 자세한 MRI 결과 및 주치의의 설명을 참고하시기 바랍니다.