아하
  • 토픽

  • 스파링

  • 잉크

  • 미션


의료상담

확실히심오한육개장

확실히심오한육개장

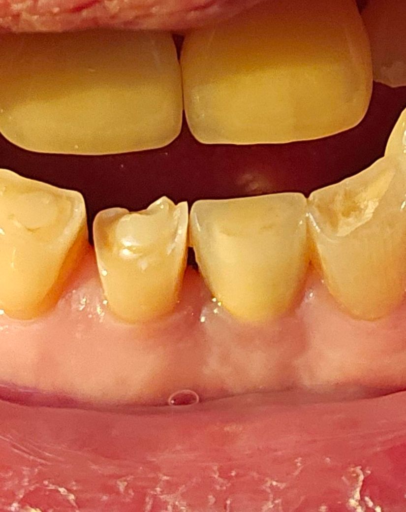
임플란트 해드의 쪽이 떨어진 건가요?

오늘 치간칫솔로 가운데 이사이(임플란트이와 신경치료한 앞이)를 칫솔질후 혀에

걸리는 느낌이 나고 입안에 조그만 조각이

있어 빼내서 보니 딱딱한데 손으루 누르니

바스러 지더라구요

이게 임플란트해드 조각이 나간건가요?

치석이 떨어져나간건가요?

만약 임플란트면 빨리 수리해야하나요?

  • 1번 째 사진
  • 2번 째 사진

3개의 답변이 있어요!

  • 최석민 치과의사

    최석민 치과의사

    강원도 원주의료원

    안녕하세요. 최석민 치과의사입니다.

    보철물이 깨져 약간 떨어져 나간 것으로 보입니다. 내부 구조에 큰 문제가 없다면 조심히 쓰셔도 될듯 하나 해당 부위로 음식물이 잘 끼거나 더 깨져나갈 수도 있으므로 어지간하면 치과를 가보세요

  • 안녕하세요. 김철진 치과의사입니다.

    보철물이 일부분 깨진거 같은데 많이 불편하시면 보철물만 교체를 하시는게 좋을것같습니다.

  • 안녕하세요. 송우식 치과의사입니다.

    부스러졌다고 하니 치석 조각인 것으로 보입니다. 임플란트 크라운 조각은 딱딱합니다. 지금도 옆에는 치석이 있는 상태이니 치과에 가서 스켈링 받아야 합니다.