아하
  • 토픽

  • 스파링

  • 잉크

  • 미션


의료상담

때론미소짓게만드는셀러리

때론미소짓게만드는셀러리

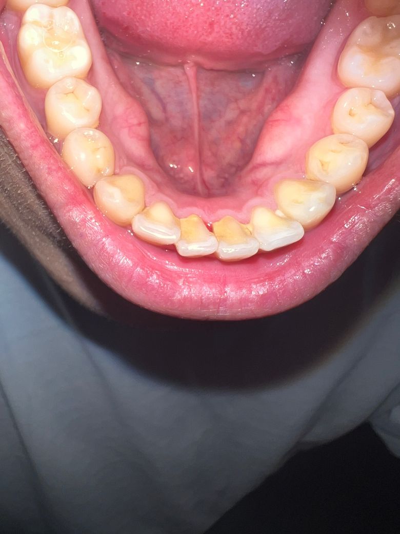
치실 하다가 이빨이 깨졌는데 이게 치석인가요? 아니면 이빨이 깨진건가요?

치실을 사용하다가 살짝 걸리는 느낌이 나길래, 살짝 잡아당겨서 치실을 빼냈는데,

아래쪽 앞이빨에서 조그만한 조각이 나왔습니다.

이빨이 깨진건가요? 아니면 치석제거를 안해서 생긴 치석이 깨진건가요? 바로 병원 가야하나요?

  • 1번 째 사진
  • 2번 째 사진
  • 3번 째 사진

2개의 답변이 있어요!

  • 전택근 치과의사

    전택근 치과의사

    국민건강보험공단 일산병원

    안녕하세요. 전택근 치과의사입니다.

    사진상으로는 치석인 것으로 보이며 일반적으로는 치실만으로 치아가 깨지거나 치석이 제거되기는 어려운데 치석이 제거된거같습니다.

    너무 걱정하실 필요는 없어보이나 치석이 많이 쌓여있으신 상황이니 스케일링받으시기를 바랍니다.

    감사합니다.

  • 안녕하세요. 정진석 치과의사입니다.

    보이는 부분은 치아가 아닌 치석이 떨어진 것으로 보입니다. 치아 외형은 그대로인 것으로 보입니다. 현재 아래 앞니에 치석이 많은 편이므로 이번 기회에 치과를 방문하여 스케일링을 통해서 제거하는 것이 좋을 수 있어 보입니다.