아하
  • 토픽

  • 스파링

  • 잉크

  • 미션


의료상담

생선구이

생선구이

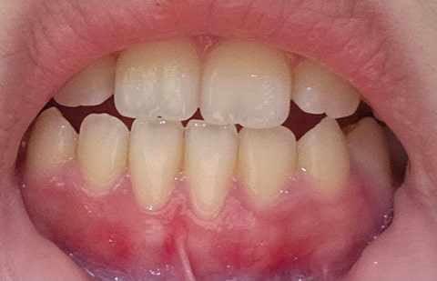
치은퇴축 진행상황인지 봐주세요!

치은퇴축 진단받은날이 올해 8월달인데 지금 치은퇴축 상황이 더 진행되고있는지 궁금해서 올려봅니다

첫번째 사진이 8월달이고 두번째가 오늘 찍은거에요!



앞니 깨진거는 무시해주세요 전체적인 잇몸 상태도 봐주시면 좋겠어요!


  • 1번 째 사진
  • 2번 째 사진

2개의 답변이 있어요!

  • 김철진 치과의사

    김철진 치과의사

    가까운우리치과

    안녕하세요. 김철진 치과의사입니다.

    크게 변화는 없는거 같습니다. 관리를 잘하시면 문제는 없으니 너무 걱정하지 않으셔도 될것같습니다.

  • 안녕하세요. 안상우 치과의사입니다.

    사진으로 봤을 경우에는 잇몸이 퇴축되거나 그런 것으로 보이진 않습니다.

    잇몸은 선홍색으로 염증 또는 없어 보입니다 하지만 자세한 확인을 위해서는 치과에서 검사를 받아 보는 것이 좋습니다.