아핫뉴스실시간 인기검색어
아핫뉴스 화산 이미지
화산 아이콘 11
비트코인 매도 신호?
아하

의료상담

치과

항상협동적인불고기
항상협동적인불고기

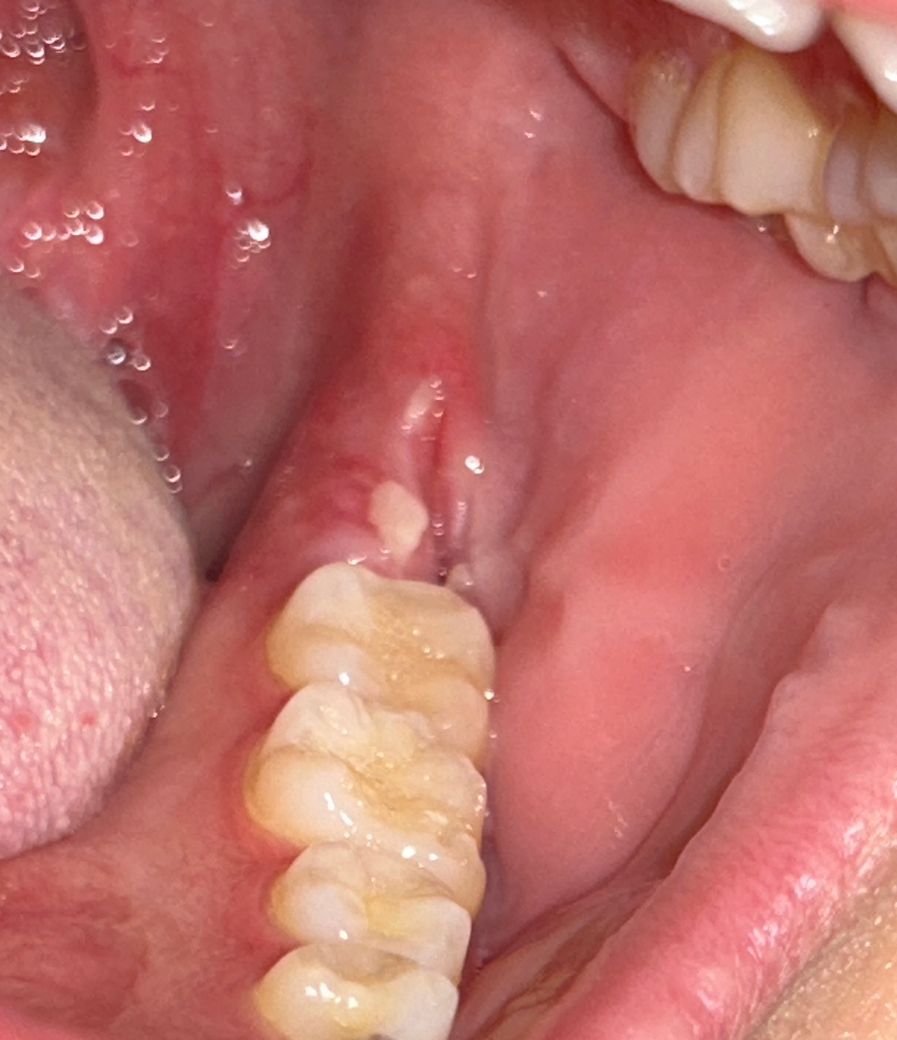
사랑니 실밥 제거 후 잇몸 벌어졌는데 괜찮은건가요?

화요일에 사랑니 뽑고 진통제를 먹어도 통증이 너무 심해서 목요일에 병원에 가서 실밥을 풀었더니 통증이 사라졌습니다. 결국 일주일이 지나지 않았을 때 빠르게 실밥 제거를 했는데 잇몸이 벌어졌습니다. 이거 괜찮은거 맞나요…? 다시 붙지는 않는건가요?

  • 1번 째 사진
  • 2번 째 사진
3개의 답변이 있어요!
  • 안녕하세요. 김지훈 치과의사입니다.

    사랑니 실밥 제거 후에는 잇몸이 약간 벌어져있는 것이 보통이며 사진상 문제는 없어보입니다.

    1명 평가
  • 안녕하세요. 김철진 치과의사입니다.

    아직 사랑니가 다 아물지 않아서 그렇습니다. 시간이 지나면서 잇몸이 아물면 괜찮아 지니 너무 걱정하지마세요.

    1명 평가
  • 안녕하세요. 안상우 치과의사입니다.

    사랑니를 발치한 후 실밥을 풀고 잇몸이 벌어져도 크게 문제가 되진 않습니다. 대부분 시간이 지나면서 아물기 때문에 해당 부위가 자극되지 않도록 하는 것이 좋습니다.