홈
토픽
스파링
잉크
미션
전문가 신청
베리몰
나도 질문하기
의료상담
살짝친화적인복숭아
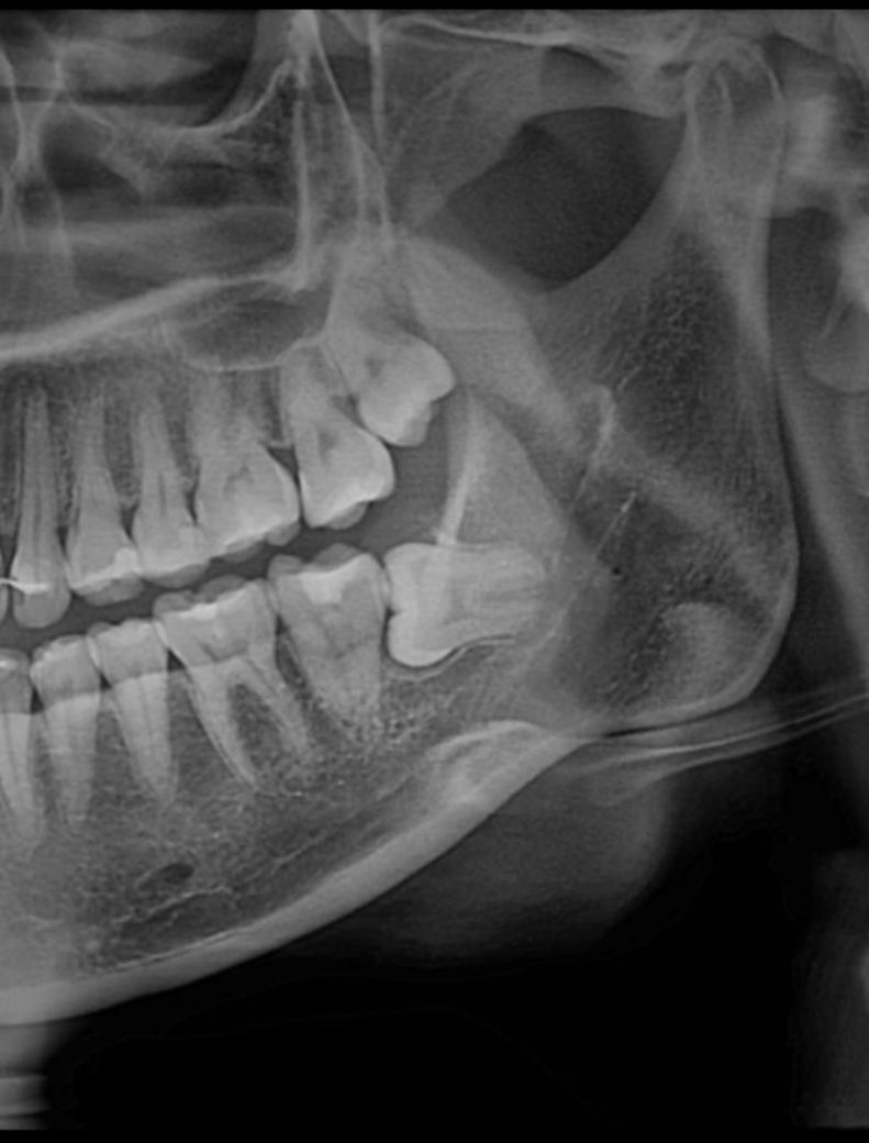
상악하악 발치예정인데 상악은 천공가능성 있나요..?
하악도신경가깝다고 하는데문제없이발치가능할지궁금하네요ㅠㅠ 그리고 마취하면 발치할때는정말안아픈가요
사진 보기
2개의 답변이 있어요!
김철진 치과의사
가까운우리치과
∙
안녕하세요. 김철진 치과의사입니다.
상악 발치는 난이도가 크게 어렵진 않지만 아래 치아는 신경과도 거리가 가깝고 매복 깊이도 깊어서 난이도가 좀 있어 보입니다.
평가
1
응원하기
최석민 치과의사
강원도 원주의료원
안녕하세요. 최석민 치과의사입니다.
1. 상악은 큰 문제는 없어보입니다
2. 하악은 ct찍어보면 더 정확할텐데 지금 파노엑스레이 상으론 약간 눌려있는것 같긴합니다 발치 시, 발치 후 소파 작업 시 주의해야하고 발치 후 주의사항도 꼭 잘 지켜야 합니다
3. 마취 충분히 합니다