아하
  • 토픽

  • 스파링

  • 잉크

  • 미션


의료상담

스페인바리스타

스페인바리스타

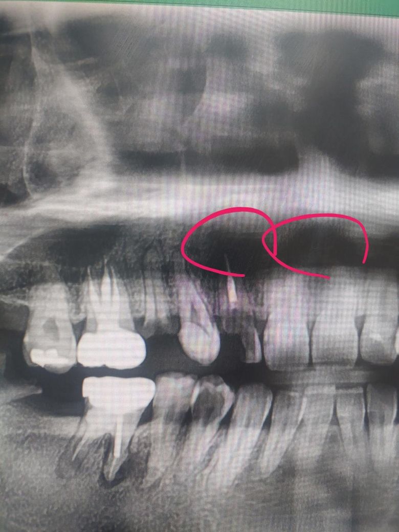
치아 파노라마 상에 앞니들 위에 부분이 검게 보이는데 뿌리랑 잇몸뼈가 녹은걸까요?

치아 파노라마 상에 앞니들 위에 부분이 검게 보이는데요 혹시 치아 뿌리랑 잇몸 뼈가 녹은걸까요...............?

  • 1번 째 사진
  • 2번 째 사진

5개의 답변이 있어요!

  • 최석민 치과의사

    최석민 치과의사

    강원도 원주의료원

    안녕하세요. 최석민 치과의사입니다.

    파노라마 방사선 사진은 왜곡, 중첩 등이 많이 발생합니다. 위 파노라마 사진상에서 검은 부분은 입천장과 혀 등이 겹쳐서 그렇게 보이는 것이고 실제로 뼈가 녹거나 그렇지는 않았을 것입니다.

  • 안녕하세요. 김지훈 치과의사입니다.

    파노라마 상에서 검게 나타나는 부분이 모두 염증을 의미하지 않으며 해당부분은 염증은 아닙니다.

  • 안녕하세요. 김철진 치과의사입니다.

    사진상의 오류일수도 잇고 연조직과 겹쳐보이면서 그렇게 보일수도 잇고 콧구멍이나 상악동같은 곳입니다.

  • 안녕하세요. 송우식 치과의사입니다.

    치아 파노라마 상에 앞니들 위에 부분이 검게 보이는 경우 혹시 치아 뿌리랑 잇몸 뼈가 흡수되어 그림자져서 보입니다. 염증이 있을 가능성이 높으며, 치아 뿌리 주변에 염증이 생기면, 그 부위의 뼈가 흡수되어 검은 그림자로 나타날 수 있습니다.

    보다 정확한 상태 확인을 위해서는 우선 치과에 방문하여 실제로 상태를 확인해보길 권합니다.

    만족스러운 답변되셨으면 합니다.

    ★평가★ 감사합니다.

  • 안녕하세요. 안상우 치과의사입니다.

    방사선 사진으로 해당 부위는 검게 보일 수 있습니다. 충치가 있어. 부러진 채 뿌리는 치근단 질환이 있을 가능성이 높아 보이나 방사선 사진으로는 정확한 확인이 어려워보입니다. 이런 경우에는 치근단 사진이나 CT 촬영을 통해서 확인을 할 수 있습니다.