의료상담

이거 구내염인가요 아니면 구강암인가요?

성별

남성

나이대

29

안녕하세요.

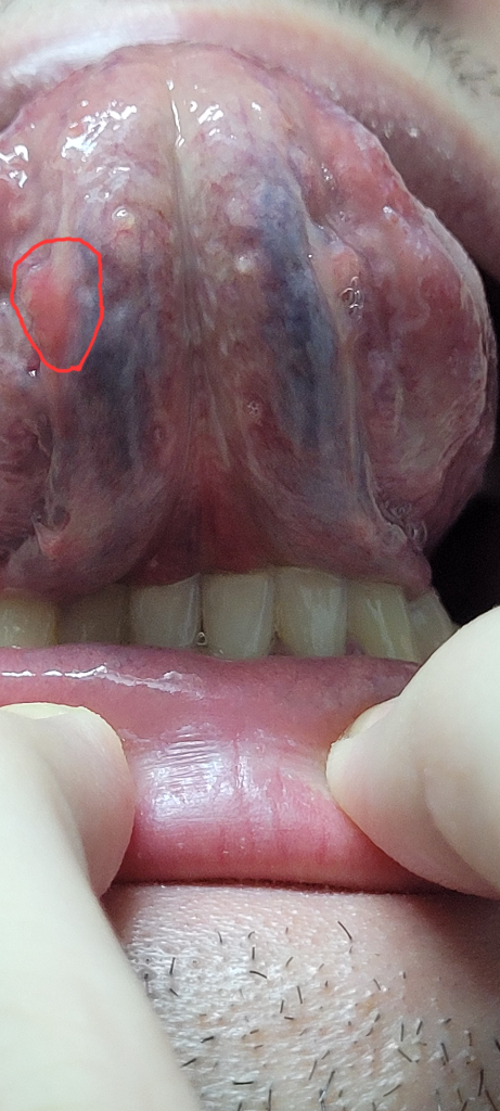
제가 한 몇주전부터 입이 아픈데 여길 만지면 팔랑거


리는 느낌과 통증이 있습니다.


이거 구강암인가요?


딱딱하지 않고 펄렁거리며 움직입니다.


사진판별 부탁드립니다.








  • 1번 째 사진
  • 2번 째 사진

4개의 답변이 있어요!

  • 안녕하세요. 박승명 의사입니다.

    구강암은 육안으로 보이는 사진만으로는 진단이 불가능합니다.

    가까운 병원 내원하시어 진료 진행해보심을 권고드립니다.

  • 안녕하세요. 김경태 의사입니다.

    사진상으로는 알수가 없겠습니다.

    진단에는 신체진찰, 각종 검사들이 필요합니다.

    이를 위해서 가까운 의원 혹은 병원 내원하시기 바랍니다.

  • 사진의 소견을 통해서 구강암 여부를 판단할 수 없습니다. 구내염은 궤양성 병변이 나타나는 질환이기 때문에 구내염은 아니며, 해당 종물이 양성인지 악성인지 여부는 조직 검사를 통해서 감별이 가능하겠습니다. 이비인후과에서 진료 및 정밀 검사를 받아보시길 권고드립니다.

  • 안녕하세요. 최병관 의사입니다.

    사진으로 악성과 양성을 판별하기는 어렵습니다. 염려가 되신다면 내원하시어 이비인후과 진료를 받아보시는 것이 가장 확실합니다.