아핫뉴스실시간 인기검색어
아핫뉴스 화산 이미지
아하

의료상담

치과

영험한텐렉53
영험한텐렉53

치아교정후 잇몸이약해지고 이가흔들리는데 어찌해야되나요?







1.나이는 60이고 치아교정기간은 4년입니다

2.아랫니가 윗니를 밀어내면서 윗니가 흔들리고 교합이 안맞아

윗니가 빠질거같은 상황이고 잇몸이 망가진 느낌이 듭니다.

3.어금니들도 교합이 잘맞지않고 입안 전체 잇몸들이 아파서 밥을 먹을수없습니다

4.어금니들의 교합도 전체면이 맞닿지않고 반만닿아 턱을 돌리지 않으면 밥을 먹을수없는 상태입니다

5.제가 느끼는것처럼 잇못들이 망가진게 맞을까요?

도와주세요 ㅠㅠ

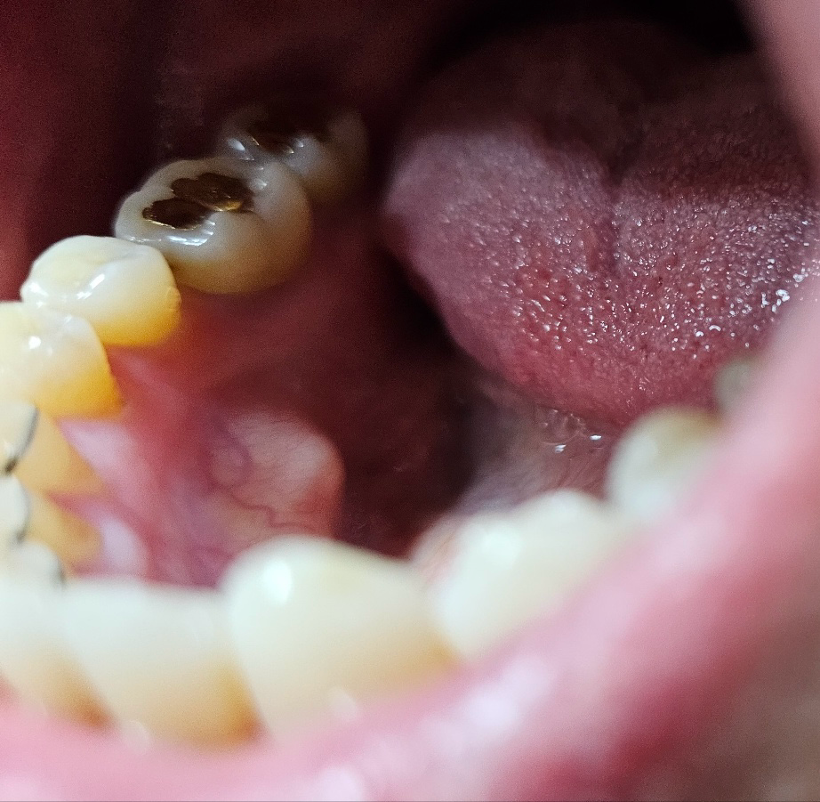
  • 1번 째 사진
  • 2번 째 사진
  • 3번 째 사진
  • 4번 째 사진
  • 5번 째 사진
  • 6번 째 사진
  • 7번 째 사진
55글자 더 채워주세요.
4개의 답변이 있어요!
  • 안녕하세요. 안상우 치과의사입니다.

    사진으로만 봤을 경우에는 크게 문제가 보이진 않습니다.

    교정을 해서 치열이 바르게 교정이 된다면 이물질 끼는 빈도가 줄어들기 때문에 오히려 치아 건강에 더 좋습니다.

    교합이 균일하게 맞춰져 있지 않는 경우에는 음식을 먹는게 적응하는 시간이 좀 더 걸릴 수 있기 때문에 치아에 가야 되는 힘을 줄여 보는 것이 좋습니다.

    자세한 확인을 위해서 교정치과에서 진료를 받아 보는 것을 권유 드립니다.

  • 안녕하세요. 김지훈 치과의사입니다.

    사진으로는 판단하기 어려운 부분입니다. 치과에서 교합검사 및 잇몸상태 검사를 해보셔야 합니다.

  • 안녕하세요. 김철진 치과의사입니다.

    잇몸이 안좋으시다면 치과를 다니시면서 잇몸치료를 받으시면서 관리를 해주시는게 좋을것같습니다. 교정을 햇는데도 교합이 좋지 않다면 교정을 한치과에 가셔서 다시 문의를 해보세요.

  • 안녕하세요. 최석민 치과의사입니다.

    1. 현 상태의 교합과 관련해서는 사진에서 첫번째 큰 어금니가 물리는 양상이 정확히 보이지는 않아 정확한 답변은 어렵습니다.

    2. 잇몸의 경우 약간 잇몸 부종이 있는 상태이며 건강한 상태의 색은 아닙니다. 미약한 치은염~치주염이 있는 것 같습니다.

    3. 교정 후 잇몸과 관련된 부작용은 있을 수 있습니다.

    4. 잇몸관리는 교정 후 꾸준히 하셔야 합니다.

PC용 아하 앱 설치 권유 팝업 이미지장도연이 추천하는 아하! 앱으로 편리하게 사용해 보세요.
starbucks
앱 설치하고 미션 완료하면 커피 기프티콘을 드려요!