의료상담

늘씬한게130

늘씬한게130

채택률 높음

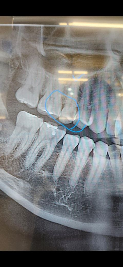
신경치료 해야된다는데 레진으로는 안될까요?

치아에 구멍이 있는 상태이고 통증은 없는 상태 입니다.

20대 중반이라 금전적으로도 그렇고 최대한 자연치아 보존하고싶고 레진으로는 안될까요??

검진 받은 곳 의사쌤 말로는 충치가 심해서 레진으로는 안되고 신경치료 후 크라운해야 한다고 합니다.

  • 1번 째 사진

1개의 답변이 있어요!

  • 안녕하세요. 최석민 치과의사입니다.

    일단은 엑스레이상으로 충치가 깊습니다 엑스레이는 보통 실제 충치보다 적게 보이는 경우가 많습니다 아마 신경치료 가능성이 매우 높지만 일단 간접치수복조의 개념으로 레진으로 해보고 증상지켜보는식으로 할 순 있습니다

    채택 보상으로 182베리 받았어요.

    채택된 답변