아핫뉴스실시간 인기검색어
아핫뉴스 화산 이미지
화산 아이콘 11
장동혁 필리버스터
아하

의료상담

신경과·신경외과

싹싹한꿩253
싹싹한꿩253

제 허리골반 통증의 이유가 무었일까요?

성별
남성
나이대
26
기저질환
x
복용중인 약
아플때마다진통소염제 신경통약

23년9월경 통증이 시작되었고,,, 디스크 증상 의심받아 약물치료 주사치료(신경주사)

< mbb , epidural >약 5회 , 체외 충격파 , 로컬에서 치료받고

대학병원 신경외과, 정형외과 들러 진료 받으니 디스크로 아프건 아닌거 같다고 들어 결국 아픈 이유를 못찾았습니다.. ct mr 검사 결과 정상적인 허리라고 들었습니다.

오늘 또 많이 아파서 뉴로틴,아세클로페낙,에페리손 먹었는데

이유모를 통증이 지속되어 힘이드네요

- 현재 허리는 뻐근하며 골반윗쪽 누르면 통증이 있고 허리도 누르면 통증이 있습니다.

허리아래 양쪽 윗엉덩이라고 해야할지 애매하네요 .,,,

  • 의견부탁드립니다.

    mri 판독 결과 남깁니다..

    Clinical information: back pain

    Pulse sequences
    - T2WI and T1WI sagittal, T2WI and T1WI axial
    - T2WI fat suppression sagittal
    - T2WI coronal
    - T2WI whole spine sagittal image
    - contrast: (-)

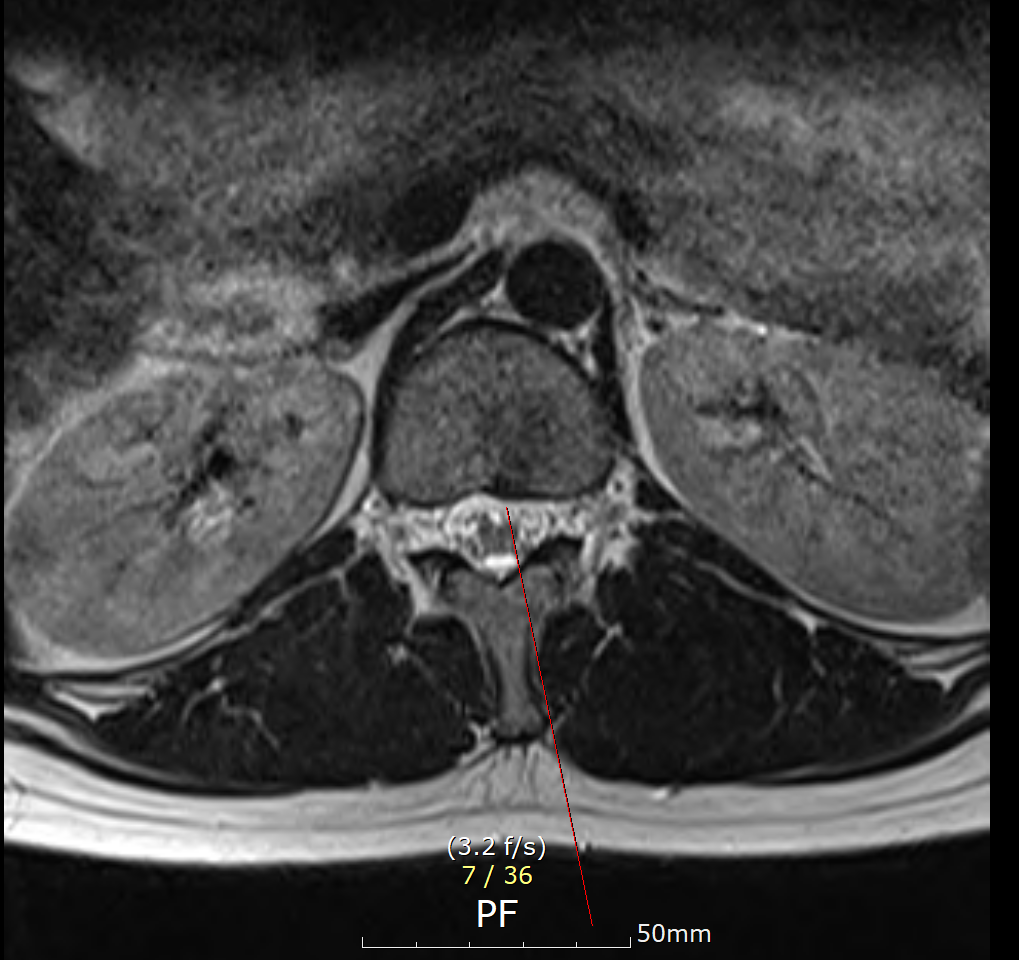
    T12-L1 level에서 disc가 뒤쪽 Lt. central aspect로 protrusion되어 있고 mild한 dural sac indentation을 주고 있음.
    그 외 disc level과 neural foramen에서 definite한 abnormality는 보이지 않음.
    Vertebral body의 SI, shape, 그리고 alignment도 정상이며, scanned TL-spinal cord내에 definite한 abnormal signal intensity는 보이지 않음.

    < Sagittal whole spine T2WI image >
    C4-5, C5-6 disc herniation at sagittal whole spine T2WI image

  • 1번 째 사진
  • 2번 째 사진
  • 3번 째 사진
  • 4번 째 사진
  • 5번 째 사진
  • 6번 째 사진
  • 7번 째 사진
  • 8번 째 사진
  • 9번 째 사진
  • 10번 째 사진
  • 11번 째 사진
  • 12번 째 사진
  • 13번 째 사진
  • 14번 째 사진
  • 15번 째 사진
1개의 답변이 있어요!
  • 안녕하세요. 남희성 의사입니다.

    아래 사진에 있는 부위가 아마 T12/L1 사이에 디스크가 살짝 뒤로 빠져있다는 부위이실겁니다.

    옆에서 보면 두번째 사진이구요.

    우선은 이 디스크 내장증으로 인한 연관통으로 보고 요추전만 자세를 잘 실천해보시는게 가장 우선 필요한 조치이겠습니다.

    수술을 주로 다루는 신경외과, 정형외과 선생님들의 경우에 심한 디스크탈출 및 신경뿌리를 누르는 신경뿌리병증이 생길만한 병변만 통증을 유발한다고 보시기 때문에 문제될만한 병변이 없다고 이야기 하셨을텐데 저렇게 작게 찢어진 디스크 때문에도 충분히 통증이 생길 수 있습니다. 물론 찢어진 디스크의 위치에 비해 통증이 밑에 있는 편이시지만 이게 불가능한건 아닙니다. 디스크 내장증이라고 하며 이럴때는 요추전만 자세가 가장 중요합니다.

    피부가 찢어지면 봉합을 하듯이 찢어진 부위가 아물도록 상처를 오므려놓는게 필요한데 이게 바로 요추전만 자세의 유지입니다.

    허리를 하루에 한번도 안굽힌다고 생각하고 생활해보시기 바랍니다.

    머리도 서서 샤워하면서 감으셔야합니다. 아마 1달 이내에 통증이 많이 줄어드는걸 느끼실 수 있을겁니다.

    끝에 있는 영상 보시고 허리관리를 어떻게 해야하는지 감을 잡아보시기 바랍니다.