의료상담
디스크 팽윤 또는 작은 돌출은 평생 흡수되지 않나요?
성별
남성
나이대
24
기저질환
허리디스크
찾아보면 디스크가 심하게 돌출되거나 터지고 나아진 케이스들을 보면
수핵이 디스크속으로 다시 들어가는게 아니라 몸속으로 흡수돼 없어진다고 들었습니다
그러면 디스크 팽윤이거나 조금 돌출된 케이스는 수핵이 터진게 아니니깐 평생 다시 들어가지 못하고 그대로 있는건가요?
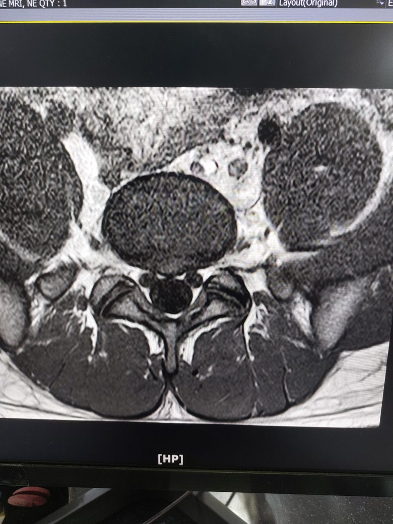
사진은 제 mri입니다
55글자 더 채워주세요.
아직 답변이 없어요.


찾아보면 디스크가 심하게 돌출되거나 터지고 나아진 케이스들을 보면
수핵이 디스크속으로 다시 들어가는게 아니라 몸속으로 흡수돼 없어진다고 들었습니다
그러면 디스크 팽윤이거나 조금 돌출된 케이스는 수핵이 터진게 아니니깐 평생 다시 들어가지 못하고 그대로 있는건가요?
사진은 제 mri입니다