홈
토픽
스파링
잉크
미션
전문가 신청
베리몰
나도 질문하기
의료상담
늘씬한줄나비169
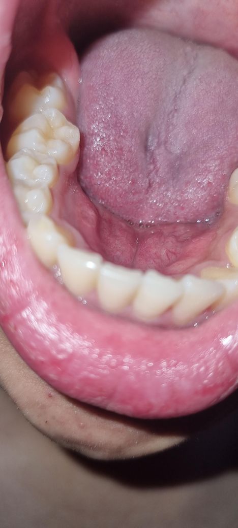
일반적으로 생각하는 구내염이 아닌거 같아서 질문을 남깁니다
생긴지는 5일에서 일주일 정도 된 듯 하고요 저 부위를 혀로 자극해도 엄청 아프거나 하지는 않습니다
사진 보기
3개의 답변이 있어요!
송우식 치과의사
솔플란트치과 경기도 성남시 모란역
∙
안녕하세요. 송우식 치과의사입니다.
단순 구내염으로 보입니다. 보통 구내염은 1주일 이상 지나면 저절로 없어집니다. 그냥두면 됩니다.
평가
응원하기
김철진 치과의사
가까운우리치과
안녕하세요. 김철진 치과의사입니다.
큰 문제가 잇는건 아닌거 같습니다. 계속해서 자극을 받아서 구내염이 사라지지 않은거 같으니 최대한 자극이 가지 않도록 해주세요.
안상우 치과의사
목동안치과의원
안녕하세요. 안상우 치과의사입니다.
구내염의 경우 통증이 있는 경우가 많습니다.
사진을 봤을 경우 자극으로 인해서 상처가 난것으로 보입니다.
해당부위를 자극하지 않는다면 대부분 2주정도 지나게 되면 아물게 됩니다.
정확한 확인을 위해서 치과에서 진료를 받아 보는것을 권유드립니다.