아하
  • 토픽

  • 스파링

  • 잉크

  • 미션


의료상담

역대급희망을가진랩터

역대급희망을가진랩터

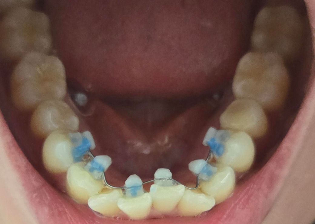
이번에 아래앞니 설측 부분교정 시작했는데요

설측 브라켓이 원래 이렇게 다 큰건가요?

가만히 혀를 입천장에 두고있어도 혀 밑부분에 브라켓이 긁혀서 혓바늘처럼 하얗게 염증 생기고 난리났네요

그리고 직업 특성살 사람 많이 만나고 대화해서 설측 젤 비싸고 좋다고 추천하길래 상담하는 의사 믿고 했더니 발음이 너무 많이 세고 혀 없는사람이 말하는것처럼 되네요;

이 브라켓이 좋은건 맞나요? 생각이 있으면 발음 문제 땜에 설측은 추천안했을텐데 무슨생각으로 이런걸 추천했나 이해가안가네요

질문1.설측 브라켓 장점이 심미적인거말고 뭐가 있나요?

질문2. 설측 브라켓은 원래 다 이정도 크기인가요 이 브라켓이 큰편인가요?

질문3. 설측 브라켓은 교정기간에 영향을 주나요?

  • 1번 째 사진

4개의 답변이 있어요!

  • 송우식 치과의사

    송우식 치과의사

    솔플란트치과 경기도 성남시 모란역

    안녕하세요. 송우식 치과의사입니다.

    1,설측 교정은 심미적인 것 말고는 장점이 없습니다. 교정기간이 더 걸리고 비용도 비쌉니다

    2,브라켓 사이즈는 원래 이런 사이즈입니다.

    3,설측교정은 교정기간이 더 걸립니다.

  • 안녕하세요. 김철진 치과의사입니다.

    질문1.설측 브라켓 장점이 심미적인거말고 뭐가 있나요?

    -심미성이 가장큰 장점입니다.

    질문2. 설측 브라켓은 원래 다 이정도 크기인가요 이 브라켓이 큰편인가요?

    -브라켓의 크리는 설측협측이든 크기는 비슷합니다.

    질문3. 설측 브라켓은 교정기간에 영향을 주나요?

    -기간보다는 심미성이 가장 큽니다.

  • 안녕하세요. 최석민 치과의사입니다.

    1. 없습니다

    2. 브라켓 종류에 따라 다를 것 같습니다

    3. 잘 떨어져서 교정기간이 더 오래걸릴 수도 있습니다

    4. 차라리 직업적 특성을 고려한다면 투명교정도 괜찮을 것 같습니다

  • 안녕하세요. 김지훈 치과의사입니다.

    설측의 장점이 따로 있는 것은 아닙니다. 브라켓 크기는 다 비슷합니다. 교정기간이 길어질 수 있습니다.