아하
  • 토픽

  • 스파링

  • 잉크

  • 미션


의료상담

참신한까마귀249

참신한까마귀249

채택률 높음

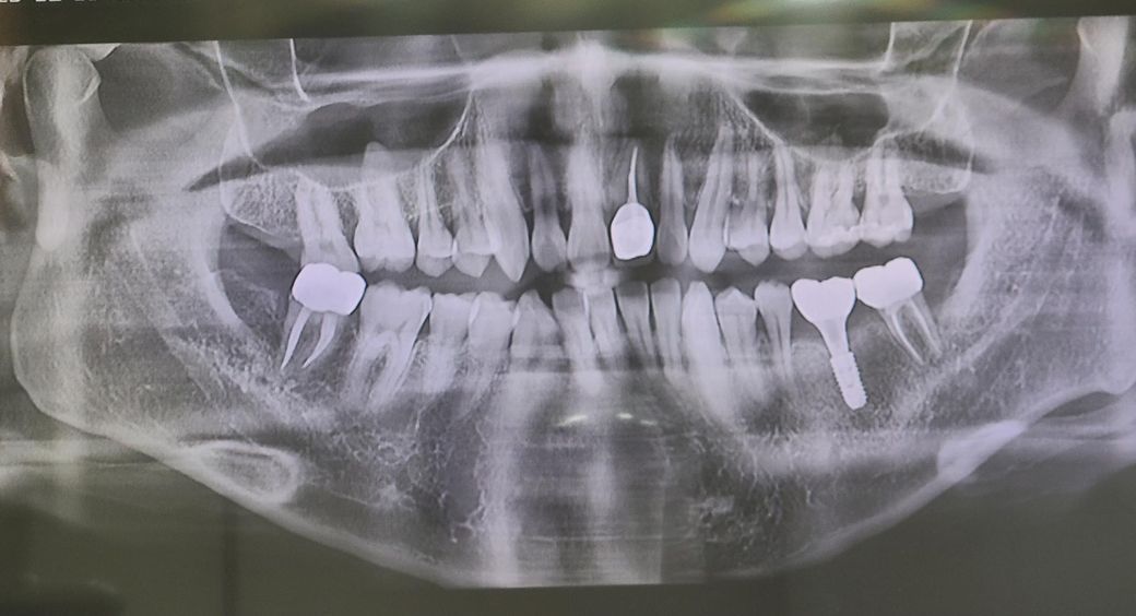
신경치료한 크라운을 재치료했는데 잇몸이 자주 붓고 아픕니다.

오른쪽 맨끝 어금니 입니다. 10년된 신경치료한 금크라운을 지르코니아로 새로 교체한지 2개월 됬는데요. 저 동그라미친 부분 잇몸이 누르면 아프고 자주 간질거립니다. 물론 저번주에 잇몸치료도 받고왔습니다. 근데 다시그러네요. 받을때만 괜찮습니다. 이러면 크라운경계부 문제인가요? 아니면 뿌리문제일까요. 최근에 찍은 엑스레이도 첨부합니다. 크라운문제라면 A/S가능한지 궁금합니다.

  • 1번 째 사진
  • 2번 째 사진

1개의 답변이 있어요!

  • 최석민 치과의사

    최석민 치과의사

    강원도 원주의료원

    안녕하세요. 최석민 치과의사입니다.

    일단 사진상 보기에 주변 잇몸이 아주 건강한상태는 아닙니다 잇몸치료받고 회복기간일 수도 있습니다

    그 앞 치아 충치도 한번 체크해보세요