아하
  • 토픽

  • 스파링

  • 잉크

  • 미션


색다른긴꼬리30

색다른긴꼬리30

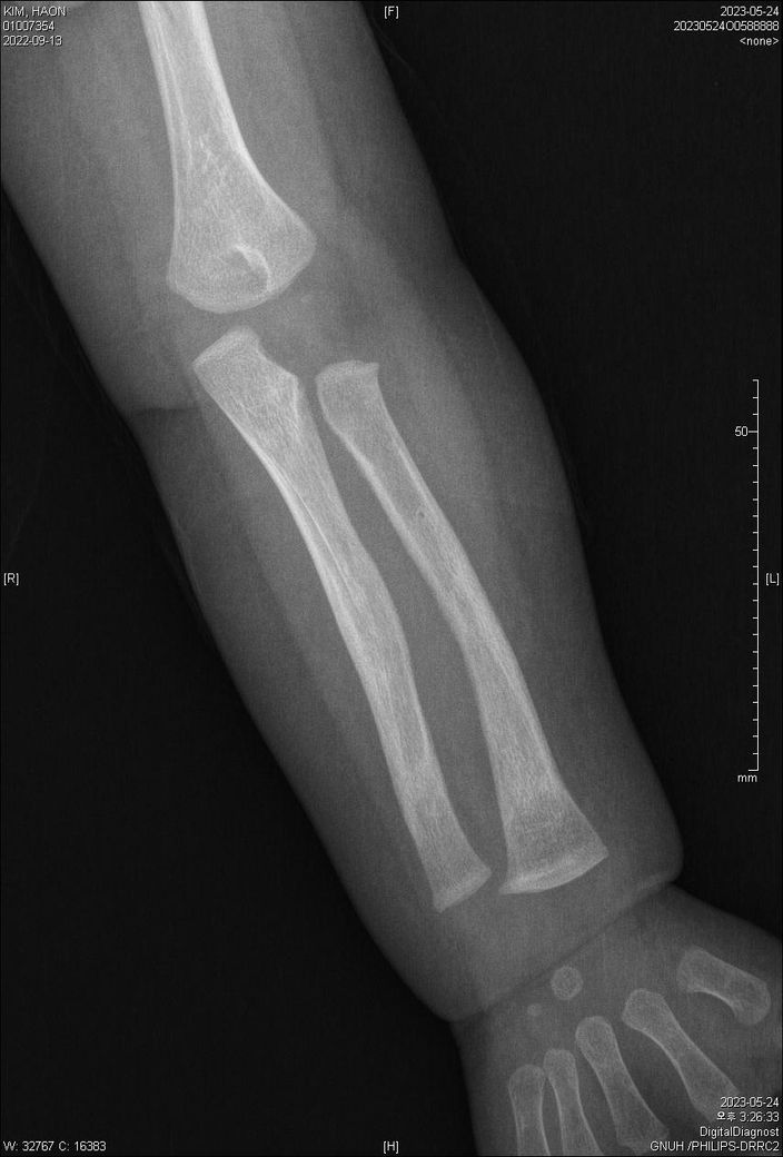
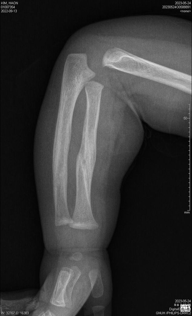
23.5.24 X-ray입니다.

성별

남성

나이대

영유아

양팔이 골절이 되었었는데요,

가골형성 시기인지,

재형성(리모델링) 시기인지 궁금합니다.

보톨 양팔 완전골절이 재형성(리모델링) 되려면 몇 주 (몇 달) 정도 걸리는 지에 대해서도

문의코자 합니다.

  • 1번 째 사진
  • 2번 째 사진

1개의 답변이 있어요!

  • 김경태 의사

    김경태 의사

    에스병원

    안녕하세요. 김경태 의사입니다.

    사진상으로 골유합이 잘 진행중입니다. 리모델링은 추후 수개월에서 수년까지 걸쳐서 일어나서 특정할순 없습니다.