아하
  • 토픽

  • 스파링

  • 잉크

  • 미션


의료상담

탈퇴한 사용자

탈퇴한 사용자

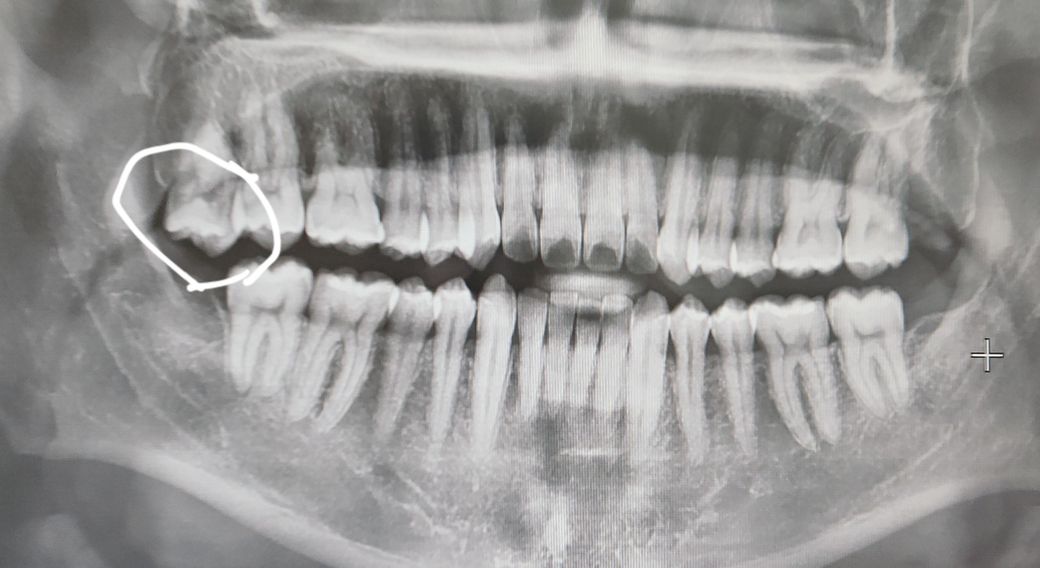
사랑니 이 정도면 언제쯤 뽑아야 할까여?

사랑니 많이 내려온다고 뽑아라고 듣긴 했는데 이정도면 언제쯤 뽑는게 좋을까여? 마주보는 치아도 다 뽑아서 지금 이제 1개 남았습니다.

  • 1번 째 사진

5개의 답변이 있어요!

  • 김지훈 치과의사

    김지훈 치과의사

    메가

    안녕하세요. 김지훈 치과의사입니다.

    사랑니는 이미 충분히 나온 것으로 판단되며 지금 바로 발치를 하셔도 괜찮을 것으로 보입니다.

  • 안녕하세요. 김철진 치과의사입니다.

    사랑니에 대합되는 치아가 없어서 많이 정출된 상태이니 발치를 하시는게 좋을것같습니다.

  • 안녕하세요. 송우식 치과의사입니다.

    사랑니를 방치하는 경우 앞의 치아에 영향을 주거나 잇몸에 염증을 유발할 가능성이 높기에 문의주신 사진의 사랑니는 빠른시일내에 발치하길 권합니다.

    만족스러운 답변되셨으면 합니다.

    <평가> 감사합니다.

  • 안녕하세요. 안상우 치과의사입니다.

    기능을 하지 않는 사랑니 이고 정출이 되어 있다면 다른 조직에 문제를 발생시킬수 있기 때문에 예방차원에서 발치를 해주는것이 좋을수 있습니다.

    자세한 확인을 위해서 치과에서 진료를 받아 보는것을 권유드립니다.

  • 안녕하세요. 최석민 치과의사입니다.

    언제뽑아도 상관없으나 어차피 지금 맞닿는 치아가 없으므로 계속 내려올것입니다(정출현상) 그렇게되면 볼을 자주 씹을 수 있고, 사랑니 및 그 옆 어금니에 충치도 생길 수 있습니다