인레인한 곳에 2차충치인지 조언을 구할려고 합니다
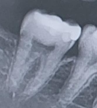
사진 47번에 위치한 어금니쪽 인레이를 한 부위가 옛날 중학교 시절 쯤 했던 인레이입니다. (현재 25살) 그렇다보니 시간이 경과해서 틈이 생겨 충치가 진행된 것처럼 보이는데 현재 증상으로는 해당 부위에 차가운물이 닿게 되었을 시 정말 미미하게 시린 경험을 겪고 있습니다. 하지만 지금 의문이 드는 점이 제가 치간칫솔을 최근에서 들어가는 공간이 되었는 것을 확인하고 치간칫솔을 무리하게 사용한건지 그것 때문에 시리게 된건지도 모르겠습니다.
일단 이번주 금요일에 치과 예약이 잡혀 있어서 그때 물어보기도 할 예정이나, 육안으로 보았을때 크게 검은색이 제 눈에는 보이지 않아서 다른 선생님들의 조언을 받고자 올립니다.
만약 치료를 하게 된다면 다시 인레이를 씌우는 정도로 될 것 같은지도 알려주시면 감사하겠습니다.
안녕하세요. 안상우 치과의사입니다.
치간칫솔을 무리하게 사용하게 되면 치아에 손상이 가해질수 있습니다. 치간칫솔을 무리하게 사용하지 않는것이 좋습니다.
사진으로는 충치여부를 정확하게 확인하기는 어려워 보입니다.
시린증상이 인레이 경계부위가 들떠서 생기는 증상이라면 보철치료를 받아야 할수도 있습니다.
자세한 확인을 위해서 치과에서 진료를 받아보는 것을 권유드립니다.
1명 평가안녕하세요. 최석민 치과의사입니다.
인레이 하방 이차충치가 의심되긴하나 신경에 근접하지 않았고, 치주인대 상태도 괜찮아보입니다 신경치료가 필요하진 않을 것 같고 다시 인레이 해주면 될 것 같습니다
1명 평가안녕하세요. 김철진 치과의사입니다.
충치를 제거해봐야 알겟지만 충치가 깊이 진행된것처럼 보이진 않아서 다시 인레이 치료를 하셔도 될것같습니다.
안녕하세요. 김지훈 치과의사입니다.
이번주 금요일에 내원약속이 있다면 가서 확인해보시면 될 듯 합니다. 괜찮을 것 같습니다.

