아핫뉴스실시간 인기검색어
아핫뉴스 화산 이미지
화산 아이콘 11
김성호 금은방 살인 신상 공개
많이 본
아하

의료상담

치과

억수로용기를내는김밥
억수로용기를내는김밥

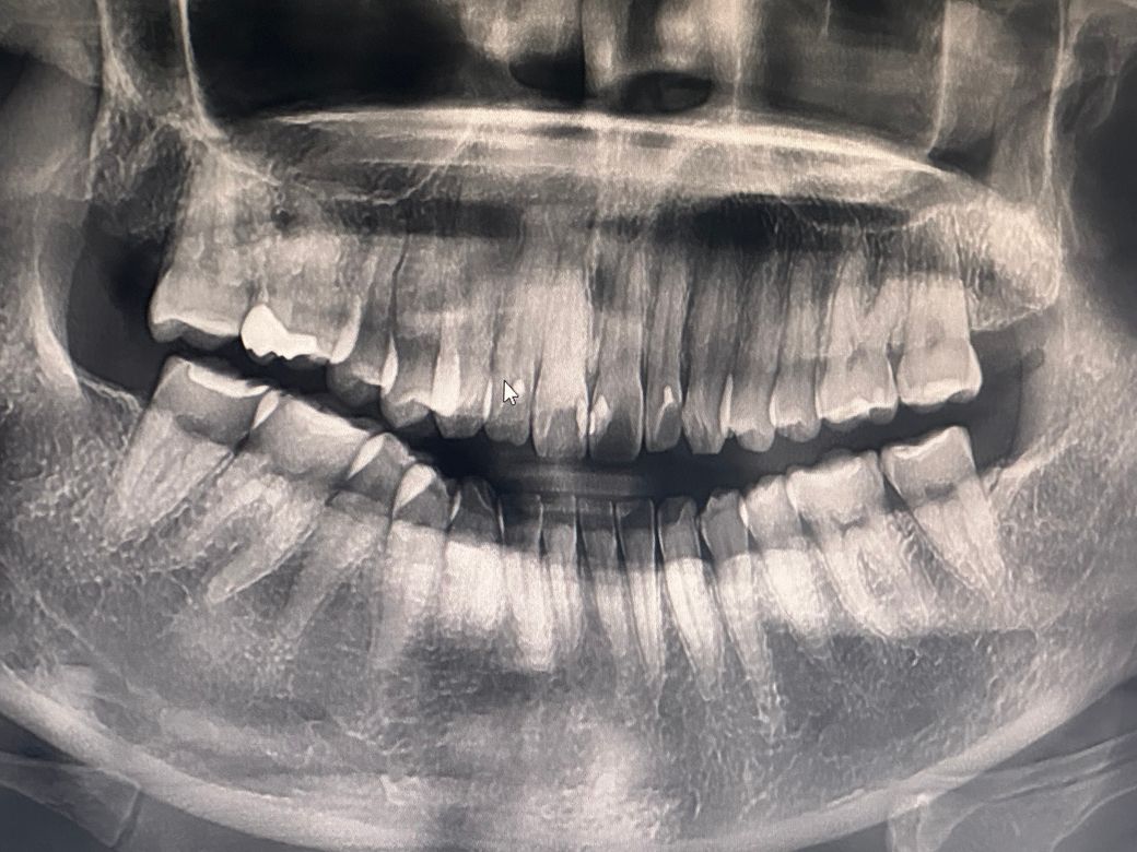
오늘찍은 사진인데 사진상 충치가 있나요?

오늘 찍은 사진입니다

작년 9월에 갔을땐 충치가 없다 들었는데

오늘은 충치에 대해서 딱히 말을 안해주시더라구요

감사합니다 !!!

  • 1번 째 사진
4개의 답변이 있어요!
  • 안녕하세요. 김철진 치과의사입니다.

    사진상으로는 크게 충치가 보이진 않지만 사진상으로 오른쪽 아래 뒤쪽 치아 사이에 약간 충치가 의심되긴하니 작은 사진을 찍어보시고 확인을 받아보시는게 좋을것같습니다.

  • 안녕하세요. 김지훈 치과의사입니다.

    눈에 당장 띄이는 것은 없어보입니다. 충치는 언제 생길지 모르니 정기 검진 받으시면 됩니다.

  • 안녕하세요. 안상우 치과의사입니다.

    사진으로는 정확한 확인이 어려워 보입니다. 자세한 확인을 위해서 치과에서 진료를 받아 보세요.

  • 안녕하세요. 최석민 치과의사입니다.

    큰 파노라마 사진으로는 아주 세세한 충치 확인은 어렵습니다 큰 층치는 없어보이나 시리거나 불편한 증상이 평소 나타난다면 치과 검진 가보시고 작은 엑스레이 사진을 찍어봐야 합니다