아핫뉴스실시간 인기검색어
아핫뉴스 화산 이미지
화산 아이콘 11
비트코인 기업 충격
많이 본
아하

의료상담

치과

떳떳한다슬기290
떳떳한다슬기290

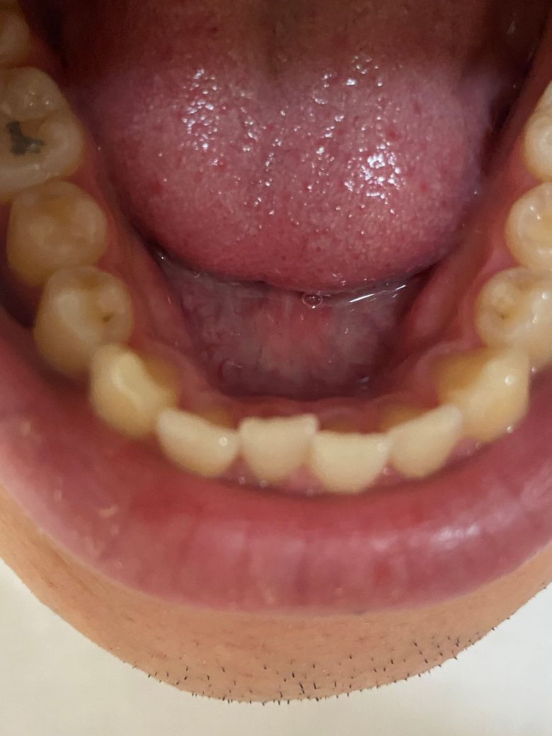
갑자기 이빨에 검은 점같은게 보이는데 때워야되나요?

몇주전에 사랑니뺀다고 치과갔다가왔는데 이빨보다가 검은 점이 보이는데 이거 충치인가요..?때워야되는건지 궁금합니다 사랑니뺄때 저게 있었으면 조치를 해줬을꺼같긴한데.. 때운게 떨어진거같기도하구요

  • 1번 째 사진
4개의 답변이 있어요!
  • 안녕하세요. 김지훈 치과의사입니다.

    사진상으로는 단순 착색일 가능성이 높아보이지만 사진만으로는 판별이 어려워 치과 가보시는 게 좋습니다.

  • 안녕하세요. 안상우 치과의사입니다.

    사진으로 보이는 부분은 충치일 수도 있지만 단순한 착색일 수도 있습니다.

    자세한 확인을 위해서 치과에서 진료를 받아 보는 것을 권유 드립니다.

  • 안녕하세요. 김철진 치과의사입니다.

    사진상으로 보면 충치가 잇는거 같습니다. 치과에 가셔서 검진후 치료를 받으시는게 좋을것같습니다.

  • 안녕하세요. 최석민 치과의사입니다.

    충치일 수도 있으나 단순 변색이나 착색, 이물질이 낀 것일 수도 있습니다. 치과에서 충치여부 검사를 해보시기 바랍니다.