아핫뉴스실시간 인기검색어
아핫뉴스 화산 이미지
화산 아이콘 11
한덕수 23년 징역 선고
아하

의료상담

치과

호기심대마왕
호기심대마왕

양악 재수술 케이스 일까요? 선생님 부탁드려요






양악수술 전 후 확인 부탁드려요ㅠㅠ너무 답답해서요


10년전 미용목적이였구요, 딱히 문제가 있는건 아니였어요.

이미 이전에도 교정중이였어요..

제 욕심에.. 그때는 인터넷과 정보가 부족하여 교정을 빨리 끝내고 싶다는 욕심과 그때 당시 tv프로그램에 홀려 성형외과에 그냥 가서 해달라고 했어요. (또 교정을 하는지 모르고 교정을 하는지 모르고 병원에서도 설명을 안해주었어요ㅠㅠ /원래도 부정교합아니였는데 살짝 돌출끼에 하였어요)

여기까지가 제 사연이구요..


수술 후 제 뼈가 이상한것 같은데 제눈이 이상한건가여?

근육문제라고 하기에는 이전 사진을 보면은 아닌것같아서요


재수술을 해야할까요?


얼굴형부터 중심선까지 너무 틀어져서요


한쪽이 치아도 그렇고 뒤로 빠져있어요,


이런거 맞추려고 양악 하는거 아닌가여ㅠㅠ;


근육은 그렇다 쳐도 뼈는 맞춰서 수술해 줘야 하는거 아닌가요?

목구멍? 기도도 답답한 느낌이예요..


뼈가 맞춰져 있는데 근육이 비대칭이라서


사진에 저렇게 나온건지ㅠㅠ



집이 지방이라 병원가려면 마음먹고 서울 가야해서


생각이 든김에 해야하는거면 하려고 조언구해요.


근육이라면 경락이나 도수 추나 하려구요



제발 객관적이게 알려주세요.


수술한 병원가서 얘기하거나 수술할 생각도 없고


시간이 지나서 어떻게 하지도 못해요.. 병원도 없어졌어요


(10년 지났어요/사진은 수술전/수술 바로 직후예요)



제 얼굴이 너무 스트레스 받아서 다시 재수술 해야 하나..


요즘 고민이 많아 객관적이게 알려주세요





마지막은 최근 입니당


현재 상악 임플란트 수술 예정으로 발치후 뼈이식했어요


(핀제거도 다 했어요, 중심이 안맞는것, 교합 좀 봐주세요)


상악 치아 망가져서 부비동염오고 난리도 아니구ㅠㅠ

양악 케이스면 뼈이식해서 생착 기달려야해서 지금하거나 시기맞춰서

양악하거나 할려구여ㅠㅠ 제발 조언해주세요

지방 대학병원 구강악면은 제대로 조언을 안해주셔서여...

치과 다니느라 반차를 너무 써서 연차쓰기도 눈치 너무 보이구

제발 부탁드려여ㅠㅠ





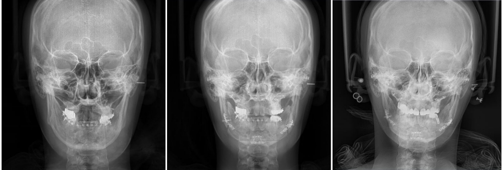
  • 1번 째 사진
  • 2번 째 사진
  • 3번 째 사진
  • 4번 째 사진
1개의 답변이 있어요!
  • 안녕하세요. 박종열 치과의사입니다.

    자세한 진단은 치과대학병원 구강악안면외과/교정과에 가셔서 재진단 받아보시는 것을 추천드립니다.

    경우에 따라서 재수술 또는 재교정이 필요할 수도 있을 것 같습니다. 감사합니다.