아하
  • 토픽

  • 스파링

  • 잉크

  • 미션


의료상담

강원도갬성

강원도갬성

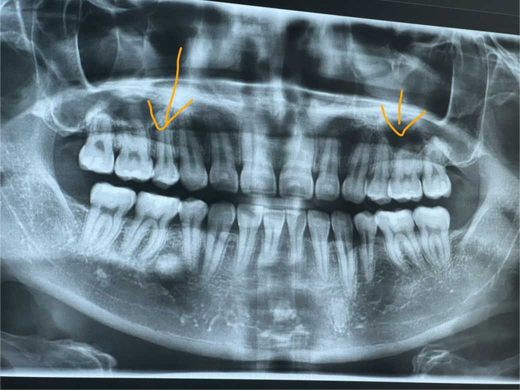
통증 없고 오래된 윗니 인접면 충치입니다. 엑스레이 봐주세요.

치과에서 엑스레이 찍었거든요.

통증은 없고 인접면 충치가 2개가 있는데 생긴지는 좀 오래됐습니다. 치료하려면 세라믹 인레이로 4개 치아 비용이 들어간다고 하네요.

엑스레이로 봤을 때는 어디가 충치 부위인지 모르겠는데 사진으로 보이시나요? 개인적인 의심 부위는 제가 주황색으로 표시해놨어요.

그리고 라바 인레이라고 다른 병원에서 진행하던데 세라믹 인레이랑 다른건가요? 어떤 게 더 좋나요?

그리고 꼭 금 인레이로 안 해도 될까요?

  • 1번 째 사진

3개의 답변이 있어요!

  • 김철진 치과의사

    김철진 치과의사

    가까운우리치과

    안녕하세요. 김철진 치과의사입니다.

    파노라마 사진으로는 인접면 충치를 정확히 보기는 어렵고 작은 사진을 찍어봐야 알수 있습니다. 작은 어금니쪽에 충치가 잇는것처럼 보이긴합니다. 요즘은 금으로 하지 않고 치아색나는 재료로 많이 합니다.

  • 안녕하세요. 김지훈 치과의사입니다.

    파노라마는 개별 치아의 진단이 쉽지 않고 육안 사진 혹은 치근단 사진이 필요합니다.

    금으로 할필요는 없습니다.

  • 안녕하세요. 안상우 치과의사입니다.

    오른쪽 위에 제이소구치 뒤쪽으로는 방사선상으로 충치가 보입니다 하지만 다른 부위에는 치아가 겹쳐져 있어서 정확히 보이지 않습니다 충치의 여부를 정확히 확인하기 위해서는 육안으로 확인을 하는 것이 중요할 것으로 생각됩니다.

    자세한 확인을 위해서 치과에서 진료를 받아 보는 것을 권유 드립니다.