아핫뉴스실시간 인기검색어
아핫뉴스 화산 이미지
화산 아이콘 11
김경 의원 주거지 압수수색
아하

의료상담

이비인후과

떳떳한꽃무지11
떳떳한꽃무지11

비염 관리방법 어떤게 좋을까요?

성별
여성
나이대
31




알레르기 피부반응 검사를 했었는데 이상없었구요

혈관운동성 비염이라고 하더라구요


만성비염인데.. 날이 갑자기 건조해지니 코막힘이 생기고(특히 자기전) 코풀면 코피도 나더라구요.

코피는 5일정도 된 것 같아요.


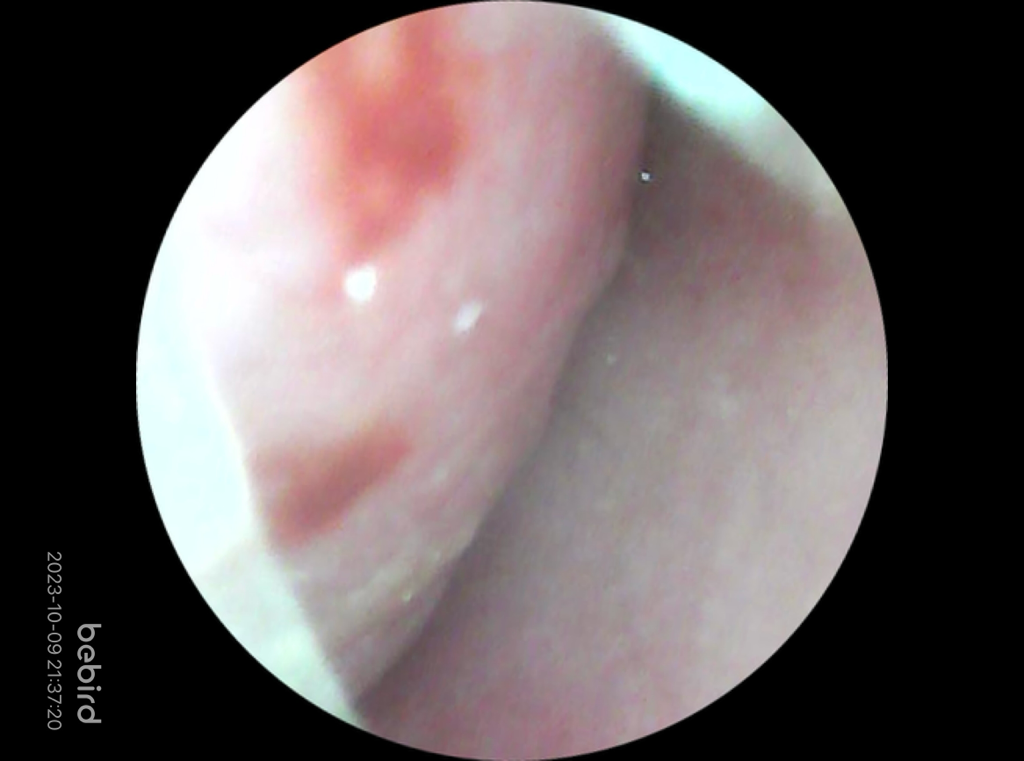
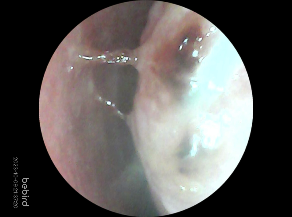
집에 내시경 기능 비슷한 기기가 있어서 찍어봤는데

위쪽이 왼쪽코, 아래쪽이 오른쪽 코 사진이에요


저정도면 상태가 어느정도인지랑, 이비인후과 내원해서 치료받는게 좋을지 집에서 관리해도 충분할지가 궁금해요!

  • 1번 째 사진
  • 2번 째 사진
1개의 답변이 있어요!
  • 탈퇴한 사용자
    탈퇴한 사용자

    안녕하세요. 정철희 의사입니다.

    혈관운동성 비염에 대해 질문해 주셨는데요, 많이 불편하셨을 것 같습니다. 답변해 드리겠습니다.

    비강 내 점막의 부종이 관찰되며, 혈관운동성 비염의 경우 치료는 원인 회피 및 증상 호전에 초점을 맞추게 되며, 근본적인 치료는 어렵습니다. 강한 향기, 음주, 매운 음식, 온습도 변화 등 증상을 유발할 수 있는 원인들을 회피하는 것이 최선입니다. 따라서 증상이 심하지 않다면 가정에서 지켜보시고, 증상이 불편한 경우 경구 약물 또는 비강내 스테로이드 스프레이 등을 처방받아 사용해 볼 수 있겠습니다.

    답변이 도움이 되셨길 바랍니다. 감사합니다.

    *제가 말씀드린 내용은 진료가 아닌 단순 의료상담으로, 정확한 확인을 위해서는 자세한 진료가 필요할 수 있습니다.