아하
  • 토픽

  • 스파링

  • 잉크

  • 미션


의료상담

탈퇴한 사용자

탈퇴한 사용자

25.03.18

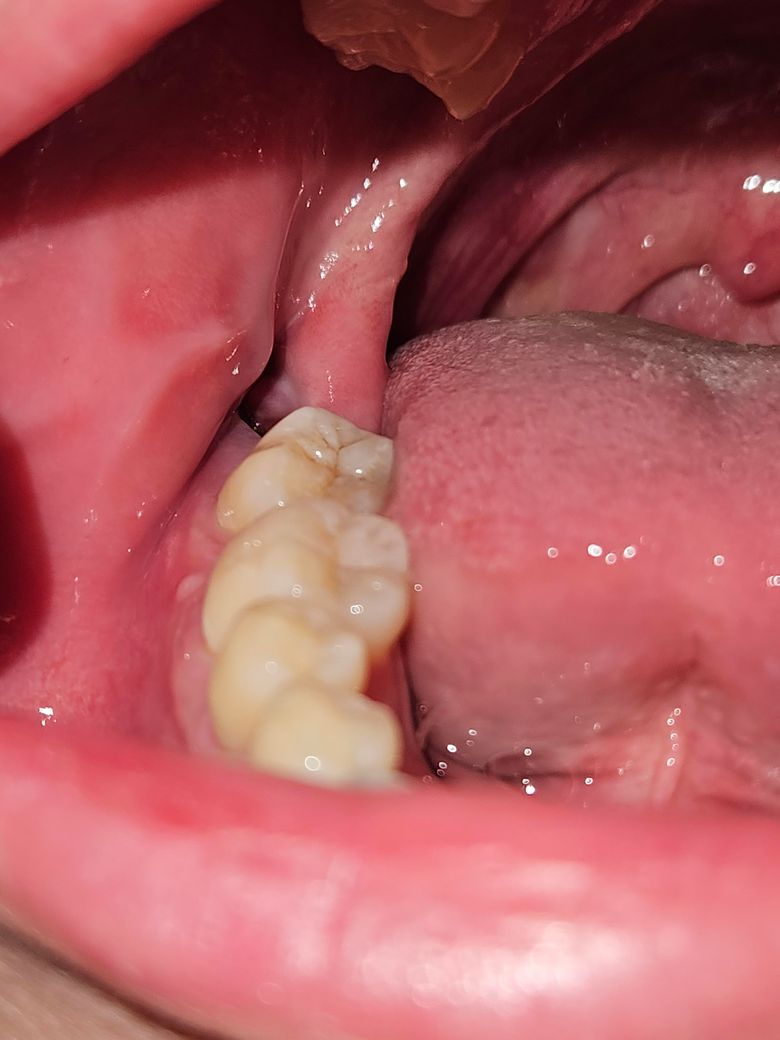
사랑니 발치 후 잘 아물고 있는건가요?

순서대로

발치 당일 - 3일차 - 5일차 - 8일차 - 11일차

입니다.

별 문제 없이 잘 아물고 있는지 걱정되는 마음에 글 올려봅니다...!

반매복사랑니 발치고 봉합은 하지 않았습니다

  • 1번 째 사진
  • 2번 째 사진
  • 3번 째 사진
  • 4번 째 사진
  • 5번 째 사진

5개의 답변이 있어요!

  • 김철진 치과의사

    김철진 치과의사

    가까운우리치과

    25.03.19

    안녕하세요. 김철진 치과의사입니다.

    사진상으로 보면 잘 아물고 잇는거 같습니다. 아직 잇몸이 다 아문게 아니라서 음식이 들어 갈수 잇으니 식사를 하시고 나서 물로 여러번 헹궈주세요.

  • 안녕하세요. 최석민 치과의사입니다.

    1. 출혈이 많지 않으면 굳이 봉합을 안해도 됩니다.

    2. 크게 사진상으로 치유에 문제가 있어보이거나 하진 않습니다.

  • 안녕하세요. 김지훈 치과의사입니다.

    별 문제 없이 잘 아물고 있는 것으로 보입니다. 11일이라면 문제가 생길 확률은 낮습니다.

  • 안녕하세요. 송우식 치과의사입니다.

    정상적으로 아물고 있습니다. 마지막 사진에서 약간 구멍이 있는 것 처럼 보이지만 그냥두면 점점 좁아지게 됩니다.

  • 안녕하세요. 안상우 치과의사입니다.

    사진으로 봤을 경우에는 크게 문제가 없는 것으로 보입니다. 해당 부위를 자극하지 않는 것이 좋으며 주기적으로 사진을 찍느러 입을 크게 벌리는 행위는 해당 부위의 치유를 늦출 수 있습니다.