아하
  • 토픽

  • 스파링

  • 잉크

  • 미션


의료상담

언제나고상한호박죽

언제나고상한호박죽

우측 아래쪽 어금니 충치 치료해야할까요

안녕하세요

오른쪽아래 어금니 사랑니 인접한쪽 충치가 있다고 진단받았는데요,

치과a는 인레이,

치과b는 지켜보자고 합니다.

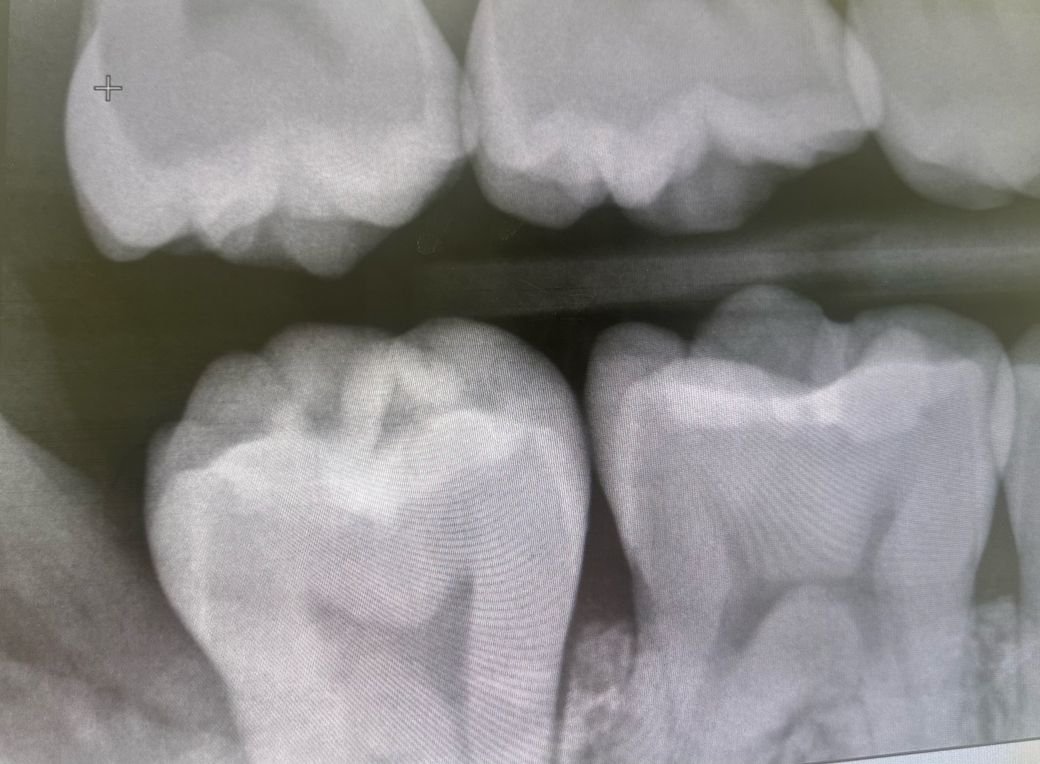
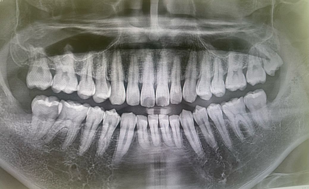
차례대로 사랑니발치전, 발치후, 가까이서 찍은 엑스레이입니다…

  • 1번 째 사진
  • 2번 째 사진
  • 3번 째 사진

5개의 답변이 있어요!

  • 최석민 치과의사

    최석민 치과의사

    강원도 원주의료원

    안녕하세요. 최석민 치과의사입니다.

    해당 부위는 잇몸 하방 치조골에 근접한 충치로 치료가 쉽지 않습니다. 더군다나 원심측이라 기구 접근이 어려워 치료를 시작한다면 크라운을 씌워주어야 하고, 잇몸을 째고 치조골 높이를 낮추어야 합니다.

    이러한 과정을 거쳐서라도 치료를 해야 하는 경우는 우식 활성도가 높은 경우, 통증이 있는 경우이고요. 그렇지 않으면 지켜보는 것도 하나의 방법입니다. 관리 잘해준다는 전제하입니다.

  • 안녕하세요. 안상우 치과의사입니다.

    인접면에 충치가 있을 경우에는 일반적으로 인레이 보철 치료를 하는 경우가 많습니다. 사진으로는 정확한 확인이 어려워 보입니다

  • 안녕하세요. 김지훈 치과의사입니다.

    위 사진만으로는 명확한 판단을 하기는 어렵습니다만, 지켜볼 수 있는 정도로 판단됩니다.

  • 안녕하세요. 김철진 치과의사입니다.

    일단은 사랑니 발치를 하고나서 다시 확인을 해보셔야될것같습니다. 파노라마 상으로는 충치가 있어 보입니다.

  • 안녕하세요. 송우식 치과의사입니다.

    b 치과 말이 맞을 것입니다. 표면만 있는 충치는 치료하지 않고 지켜 보는 것이 우선입니다. 충치라면 무조건 치료하자고 하는 치과는 문제가 있는 치과입니다.