아핫뉴스실시간 인기검색어
아핫뉴스 화산 이미지
화산 아이콘 11
李대통령 이혜훈 지명 철회
아하

의료상담

치과

아주당당한퓨마
아주당당한퓨마

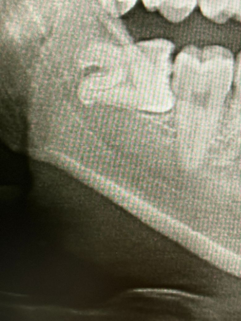
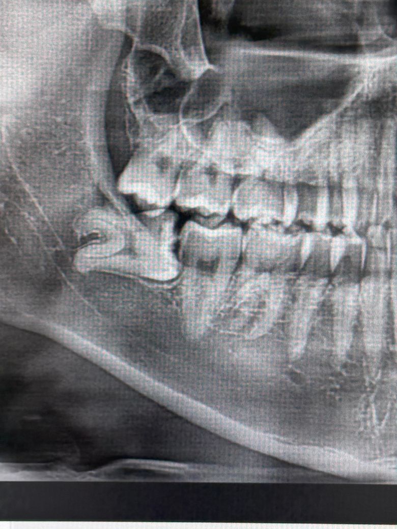
사랑니 옆 어금니의 검은부분 충치일까요?

매복 사랑니 옆쪽 어금니 측면에 저 검은 부분이 인접면 충치일까요?

엑스레이로 이런 인접면 충치를 판별 할 수 있는 지도 궁금하고

만약 맞다면 어느 정도로 치료를 해야할까요?

  • 1번 째 사진
  • 2번 째 사진
4개의 답변이 있어요!
  • 안녕하세요. 김철진 치과의사입니다.

    치아가 겹쳐 잇기 때문에 저부분은 사랑니 발치를 하고나서 다시 엑스레이를 찍어서 확인해보셔야될것같습니다.

    1명 평가
  • 안녕하세요. 안상우 치과의사입니다.

    사진으로 봤을 때는 눈으로 확연하게 보이는 충치가 보이진 않습니다.

    하지만 사랑니를 발치하고 난 다음에 육안으로 확인을 해봐야 더 정확하게 알 수 있을 것으로 생각됩니다.

    정확한 확인을 위해 치과에서 진료를 받아보는 것을 권유드립니다.

    1명 평가
  • 안녕하세요. 최석민 치과의사입니다.

    1. 두번째 엑스레이 기준으로 보면 사랑니 옆 어금니의 옆면 충치는 다소 명확히 보입니다. 또한 사랑니와 어금니 사이 음식물이 끼어 충치가 유발되었을 것으로 강력히 의심됩니다.

    1. 저런 경우는 일단 사랑니 발치 후 옆면 충치에 대한 접근이 가능한지 봅니다. 옆구리 쪽으로 접근이 가능한 경우도 있고 힘든 경우 그냥 위에서부터 파고 내려가고 인레이 내지는 크라운을 씌워주게 됩니다.

    2. 엑스레이로 보기에는 충치가 다소 크고 깊어서 옆쪽으로 접근은 어려울 수도 있을 것 같습니다.

    1명 평가
  • 안녕하세요. 김지훈 치과의사입니다.

    사진 상에는 겹쳐보이는 것이기 때문에 사랑니 뽑고 다시 찍어봐야 하며 가능성은 있어보입니다.