아하
  • 토픽

  • 스파링

  • 잉크

  • 미션


의료상담

조신한황로194

조신한황로194

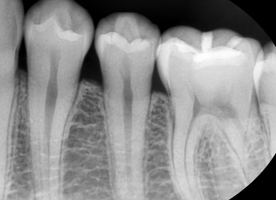
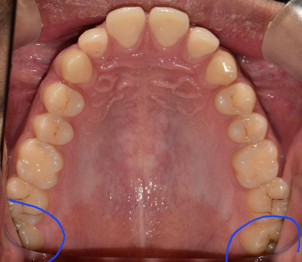
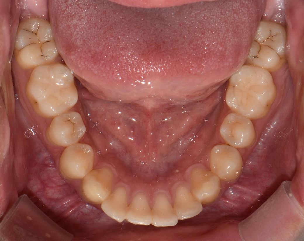
사진속 충치가 다시 번지면 인레이인가요?

사진속 구강상태에서 초기 정지우식이라고합니다. 근데 재광화가풀려 며칠동안 조금이라도 정지우식이 다시 진행되었다면, 진행된지 고작 2주정도 지났다고 쳐도 인레이가 필요한치아가 있나요? 많이 진행되지않고 2주동안 이제막 충치가번지기 시작하는경우, 레진인지 인레이인지 궁금합니다

  • 1번 째 사진
  • 2번 째 사진
  • 3번 째 사진
  • 4번 째 사진
  • 5번 째 사진
  • 6번 째 사진
  • 7번 째 사진
  • 8번 째 사진
  • 9번 째 사진

4개의 답변이 있어요!

  • 최석민 치과의사

    최석민 치과의사

    강원도 원주의료원

    안녕하세요. 최석민 치과의사입니다.

    이정도면 초기상태 충치가 맞고 여기서 좀 더 진행되더라도 인레이까지는 안갈 것 같습니다.

  • 안녕하세요. 김지훈 치과의사입니다.

    충치가 진행이 되는 것이 치아 사이의 경우에는 보통 레진보다는 인레이로 치료하는 것이 일반적입니다.

  • 안녕하세요. 안상우 치과의사입니다.

    충치의 범위가 넓거나 인접면에 충치가 있는 경우에는 보철치료를 하게 됩니다.

    범위가 넓지 않다면 인레이 치료를 할수 있지만 범위가 넓다면 크라운 치료가 필요할 수 있습니다.

  • 안녕하세요. 송우식 치과의사입니다.

    2주만에 충치가 급격하게 진행될 가능성은 낮으나, 충치가 더 진행되지 않도록 양치를 꼼꼼히 하여 관리하는 것이 필요로 됩니다.

    궁금증 해소에 도움이 제 답변이 도움이 되셨길 바라며, '👍' 눌러주시길 부탁드립니다.