의료상담
잇몸이 점점 내려가는 거 같은데 잇몸 퇴축일까요?
성별
여성
나이대
25
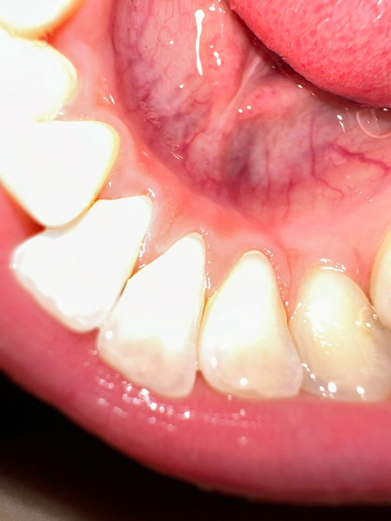
며칠 전부터 아래 앞니가 시큰거려서 거울을 보니까 잇몸이 좀 내려간 거 같아서요..
블랙 트라이앵글도 원래 아래 앞니 사이에만 있었는데 앞니 양옆으로 작게 새로 생겼고(사진에선 안보이네요), (체감상) 치아도 많이 길어진 거 같아요
혹시 잇몸 퇴축일까요? 퇴축까진 아니어도 잇몸이 내려간 편인지 궁금합니다.
55글자 더 채워주세요.
1개의 답변이 있어요!
안녕하세요. 신성현 의사입니다.
사진상으로 보았을때는 심각한 수준으로 보이지 않습니다. 정기적인 치과 진료와 점검, 스케일링 등의 치료를 받는 것이 치주염과 잇몸퇴축을 가장 효과적으로 예방하는 방법입니다.

