아핫뉴스실시간 인기검색어
아핫뉴스 화산 이미지
화산 아이콘 11
김민석 총리 미술관 방문
아하

의료상담

피부과

유망한무당벌레250
유망한무당벌레250

혓바닥 아래 상태가 정상인가요???

성별
남성
나이대
27

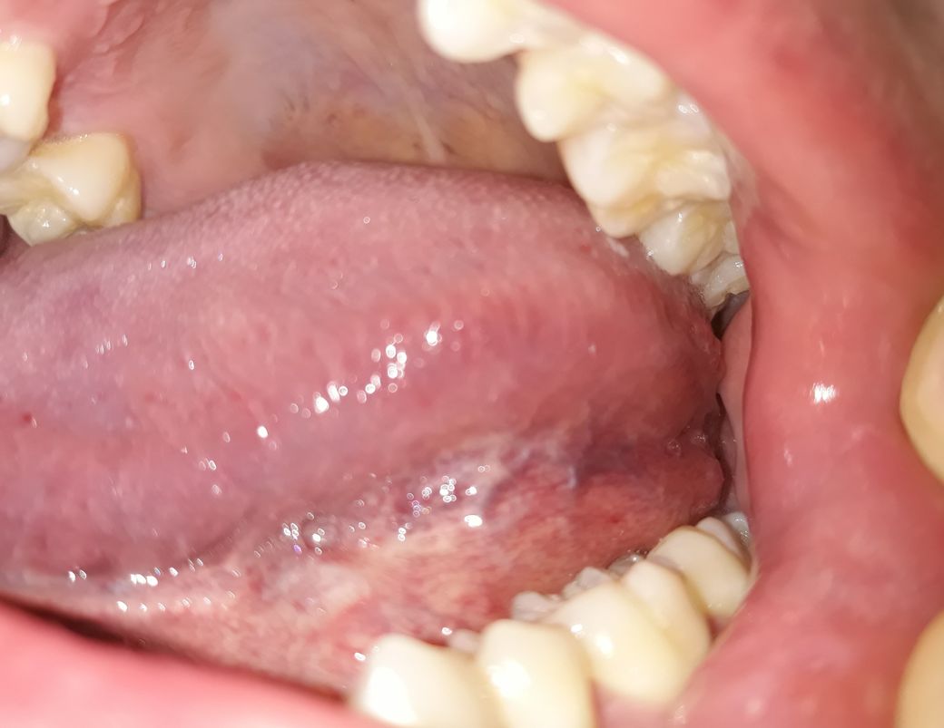
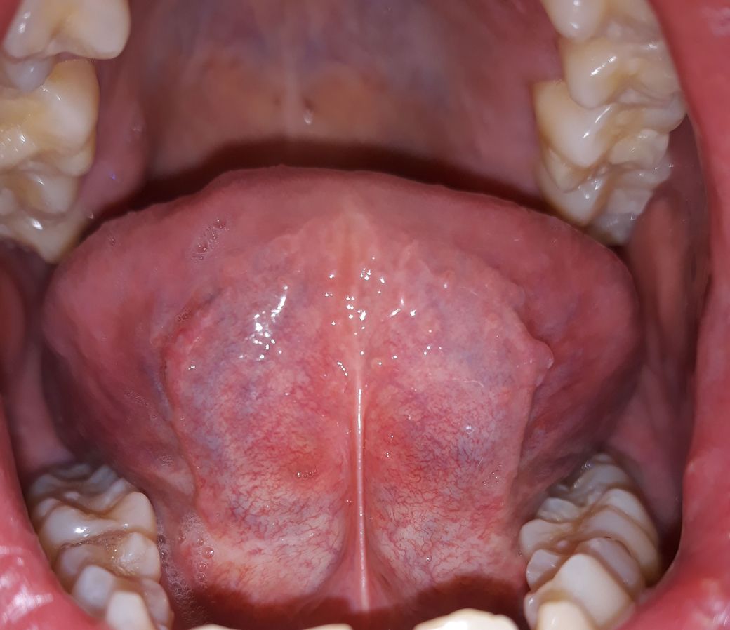
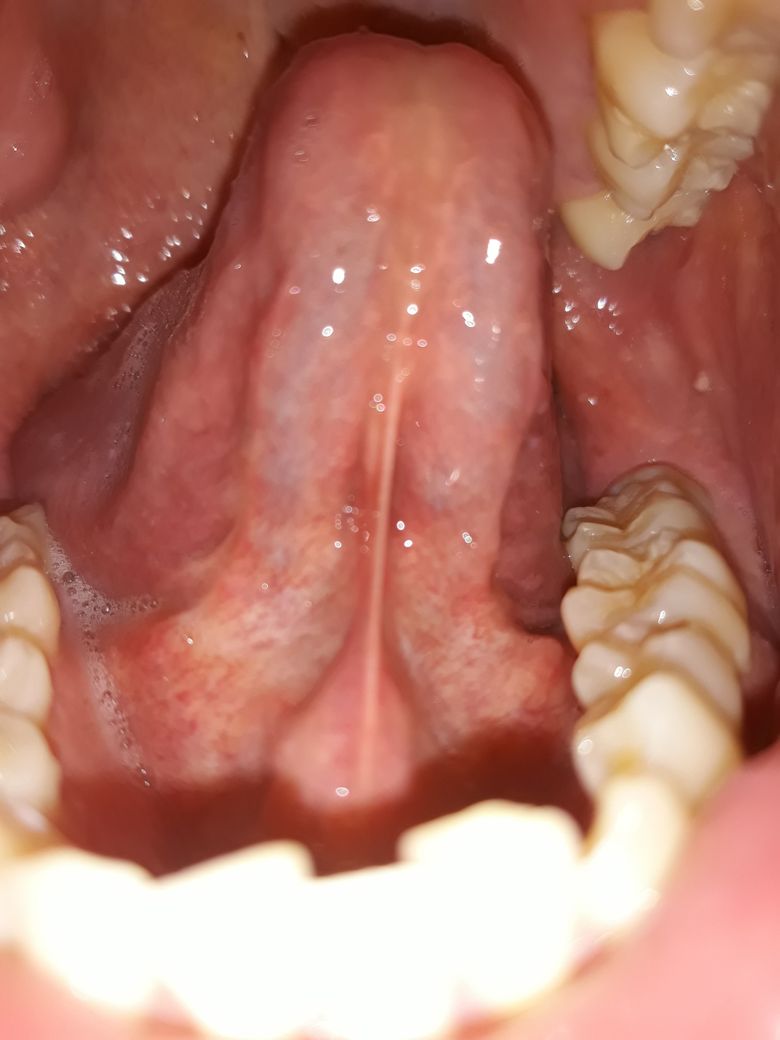
양치하다가 혓바닥 옆쪽 아래를 봤는데 잔핏줄도 많이 보이고 중간에 색깔도 군데군데 누런거같기도한데 만져보니깐 부드럽고 통증이나 불편한건 없습니다. 괜찮은건가요?

  • 1번 째 사진
  • 2번 째 사진
  • 3번 째 사진
  • 4번 째 사진
  • 5번 째 사진
  • 6번 째 사진
  • 7번 째 사진
  • 8번 째 사진
2개의 답변이 있어요!
  • 안녕하세요. 서민석 의사입니다.

    입 구석구석을 살펴보셨네요. 사진 올려주신 것만 봐서는 특별한 이상은 없어 보입니다. 증상도 없으니 괜찮다고 보셔도 되구요.

  • 안녕하세요. 강성주 의사입니다.

    특별히 현재 통증 및 이물감 등이 있는 것이 아니라면 이상소견으로 보지는 않습니다.

    만약 증상발생시는 치과에 내원해 보시는 것을 추천드립니다.

    감사합니다.