아핫뉴스실시간 인기검색어
아핫뉴스 화산 이미지
화산 아이콘 11
스트래티지 비트코인 추가 매입
아하

의료상담

치과

신중한콘도르191
신중한콘도르191

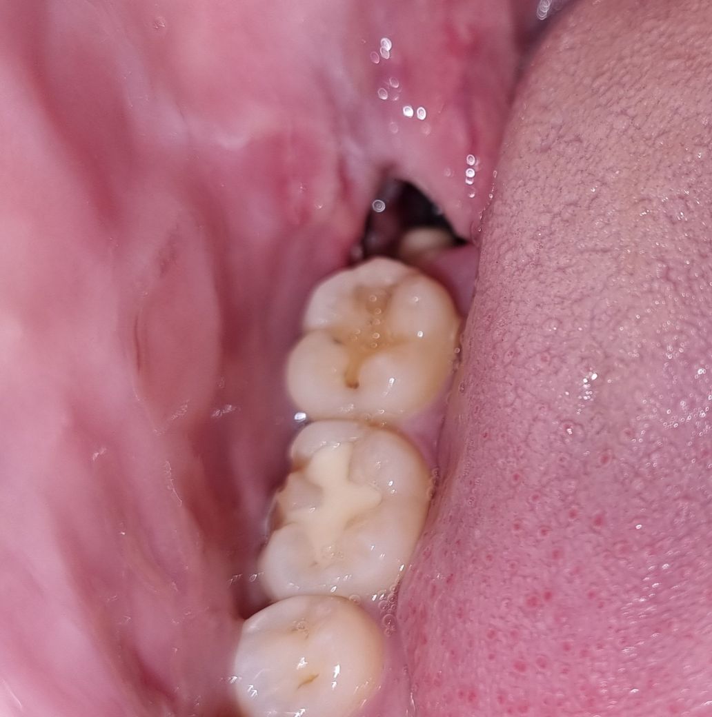
사랑니 발치 후 뼈가 보입니다 정상인가요?

사랑니 발치 후 이제 3일이 됩니다.

지금까지 큰 붓기나 큰 통증 없이 잘 지냈는데 문득 오늘 거울을 보니까 뼈가 보이는 것 같아서 걱정이 됩니다.

사진처럼 뼈가 보이는 것 같아서 걱정에 질문드립니다.

  • 1번 째 사진
10개의 답변이 있어요!
  • 탈퇴한 사용자
    탈퇴한 사용자

    안녕하세요. 장인아 치과위생사입니다.

    하얗게 보이는것은 잇몸이 치유되는 조직으로 보입니다.

    붓기와 통증이 없다면 문제가 되지는 않을것 같습니다.

    도움이 되기를 바랍니다. 건강하세요.

  • 안녕하세요. 김세현 치과의사입니다.

    사진상 보이는것은 뼈라기보다는 혈병과 음식물이 섞인 거죽으로 판단됩니다.

    해당부위는 신체에서 가장 치유가 잘되는 곳 중 하나로, 설령 뼈가 보인다 하더라도 골수염 등으로 진행될 가능성은 낮습니다.

    해당부위의 염증, 통증이 동반된다면 치과의사에게 경과를 지켜보면서 2~3일 간격으로 전용도구로 소독을 받으시는게 좋구요, 정확한 진단을 위해 발치하신 곳에 내원하시는게 좋겠습니다.

    해당부위 음식물을 가볍게 헹궈내는것은 좋으나, 혈병이 없어질만큼 주사기 등으로 지속적인 세척을 하시면 치유에 방해가 될 수 있으니 유의해주세요.

    무엇보다도 뒤에서 두번째 예전에 GI재료로 떼우신 곳 치아가 떨어져 나가서 문제가 될 가능성이 높아 보이니 크라운 등의 치료를 받으시는게 좋겠습니다.~

  • 안녕하세요. 이효상 치과의사입니다.

    직접 보지 않아 뼈인지 확인이 되지 않는 상황입니다.

    사랑니를 뺀후에 보이는 저부위는 혈병으로 덮여있어 확연하게 보이는 부위가 아니긴 합니다.

    아마 다른 음식물잔사같은게 들어가있는게 아닌가 생각되기도 합니다.

    그럼에도 큰 통증이나 붓기가 없어보이니 좀더 지켜보셔도 될것같고,

    너무 염려되시면 치과에 검진을 받는것도 한 방법입니다.

  • 안녕하세요. 이정현 치과의사입니다.

    사진으로 보이는것은 뼈가 아니라 음식물이나 음식물찌꺼기 또는 잇몸의 일부분이 하얗게 보이는 것으로 보입니다.

    걱정되신다면 발치한 치과에서 체크를 받아보시기 바랍니다. 감사합니다.

  • 안녕하세요. 김용균 치과의사입니다.

    사랑니를 빼면 그 부위는 피딱지(혈병)로 채워지며 점점 잇몸으로 채워집니다.

    혈병이 생기는 정도는 사람마다 조금씩 차이가 있으며 특별한 불편감이 없다면 점점 살로 채워질것이므로 걱정하지 않으셔도됩니다.

    혹시 모르니 당분간 술,담배 피해주세요.

  • 안녕하세요. 송우식 치과의사입니다.

    약간 희게 보이는 것은 뼈가 아니라 잇몸부위에 하얗게 딱지 앉은 것으로 보입니다.

    그리고 이가 빠진 부위에 웅덩이 파진 것도 정상적인 것입니다.

    그냥 두면 밑에서 잇몸이 차올라 오면 없어집니다. 건드리지 말고 그냥 두세요.

  • 안녕하세요. 김철진 치과의사/경제·금융전문가입니다.

    사랑니 발치가된 발치와에 뼈가 보일수도 있습니다. 크게 문제가 되는건 아닙니다. 다만 저 공간에 음식물이 남아 있지 않도록 식사를 하시고 잘 헹궈주시는게 좋습니다.

  • 안녕하세요. 전택근 치과의사입니다.

    발치 후 살이 차오르기까지 평균 1개월 뼈가 차오르기까지는 6개월 정도 소요됩니다. 발치 후 몇 주 정도는 위와 같은 상태가 지속될 수 있으며 해당 부위에 음식물이 끼지 않도록 가볍게 가글정도만 해주시면서 지내시면 됩니다.

    만약 발치부위 통증이 극심하거나 고름이 나오면 지체 없이 발치하셨던 곳을 재내원하시길 바랍니다.

    즉, 현재 상태는 발치 후 있을 수 있는 상태이며 서서히 살이 차오를 것이니 조심하면서 생활하시면됩니다.

  • 안녕하세요. 안상우 치과의사/경제·금융전문가입니다.

    사랑니가 잇몸뼈 깊이 있었다면 발치후에 안에 큰 공동이 생길수 있습니다.

    사진으로 보이는것은 뼈라기 보다 이물질이 들어가 있을 가능성이 높아요.

    그렇다고 이물질을 빼기 위해 발치부위를 자극하는 것은 좋지 않습니다.

    생리식염수등으로 부드럽게 가글을 해보세요.

  • 안녕하세요. 정진석 치과의사입니다.

    크게 문제가 없습니다. 2~3일 정도는 사람에 따라서는 현재와 같이 보일 수 있으며 혈병이 시간이 지나면 사라지고 이것이 치조골과 잇몸으로 재생되게 됩니다. 아직까지는 회복까지 기간이 많이 걸리기 때문에 현재와 같이 공간이 나타날 수 있습니다. 보통 발치한 공간이 모두 차오르는데는 최소 6개월, 표피가 덮히는데는 1개월 이상 걸립니다.

    아무쪼록 저의 답변이 문제 해결에 작게 나마 도움이 될 수 있기를 기원드립니다. 항상 건강하고, 행복하세요^^

    정진석 치과의사 드림