의료상담
콧구멍안 제일 윗쪽에 뭔가 톡 튀어나온 작은게 있는데요
성별
여성
나이대
30
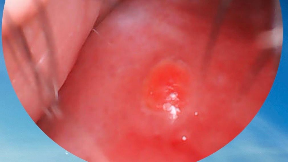
콧구멍 안쪽 제일 윗부분에 뭐가 아주 작은게 살짝 튀어나와서 보니 저런게 있는데요 뭔가요?
상처가 난걸까요? 의사선생님들 답변 부탁드려요
1개의 답변이 있어요!
안녕하세요. 이송재 이비인후과 전문의입니다.
사진으로 보기에는 상처 혹은 자극에 의해서 점막이 부은거로 보입니다. 건드리지 않으면 큰 문제가 되진 않을 것 같습니다.
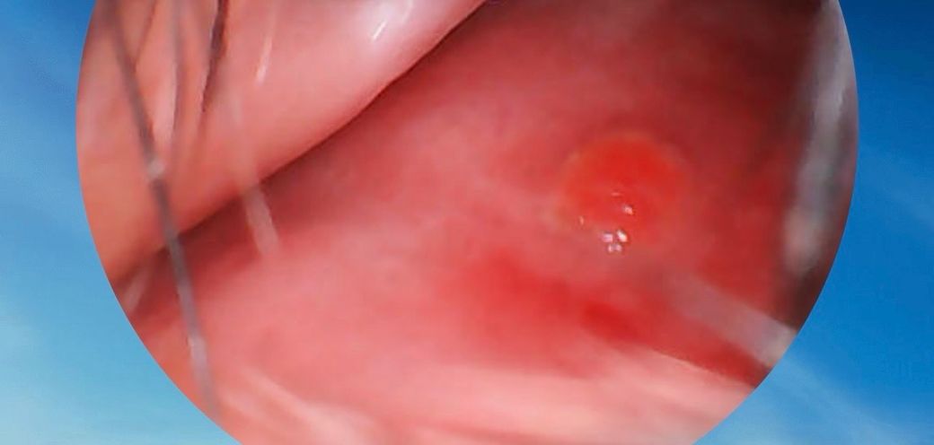
콧구멍 안쪽 제일 윗부분에 뭐가 아주 작은게 살짝 튀어나와서 보니 저런게 있는데요 뭔가요?
상처가 난걸까요? 의사선생님들 답변 부탁드려요
안녕하세요. 이송재 이비인후과 전문의입니다.
사진으로 보기에는 상처 혹은 자극에 의해서 점막이 부은거로 보입니다. 건드리지 않으면 큰 문제가 되진 않을 것 같습니다.