아핫뉴스실시간 인기검색어
아핫뉴스 화산 이미지
화산 아이콘 11
토트넘 선수단 해고 요구
아하

의료상담

치과

거대한땅돼지133
거대한땅돼지133

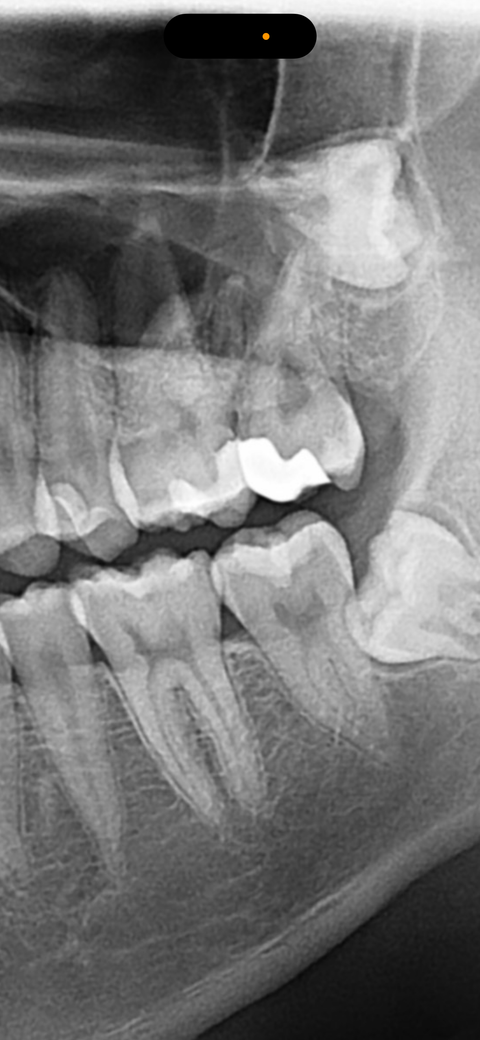
엑스레이 상으로 신경치료 가능성 높은가요?

윗 어금니 인접면에 충치가 있는것 같은데 혹시 신경치료 가능성이 높은가요? 치과에서 여쭤보질 못했네요.. 통증은 없는 상태입니다.

  • 1번 째 사진
4개의 답변이 있어요!
  • 안녕하세요. 김지훈 치과의사입니다.

    인접면 충치는 파노라마로 명확히 진단을 하기는 어렵습니다. 충치를 삭제해봐야 알 수 있습니다.

  • 안녕하세요. 김철진 치과의사입니다.

    일단은 최대한 신경치료를 안하는 방향으로 치료를 하겟지만 충치가 깊은곳에 잇어서 신경치료 가능성도 있을것같습니다.

  • 안녕하세요. 최석민 치과의사입니다.

    신경이랑 근접해 있기 때문에 신경치료 가능성이 꽤 있습니다 일단 기존 수복물 제거 후, 충치제거 후 재평가를 해봐야 할 것 같습니다

  • 안녕하세요. 송우식 치과의사입니다.

    충치가 깊게 진행되어 치아의 중심부인 신경까지 영향을 미치면, 신경 치료가 필요할 수 있습니다. 통증이 없는 경우 신경에 영향을 미쳤을 가능성은 낮기에 우선은 더 지켜보고, 만약 통증 발생시에는 바로 치과 진료를 받길 권합니다.

    만족스러운 답변되셨으면 합니다.

    <평가> 감사합니다.