의료상담

경동맥 협착률 얼마나 될까요? 초음파 영상 자료 첨부드립니다.

성별

남성

나이대

62

기저질환

고혈압

복용중인 약

혈압약, 고지혈증약

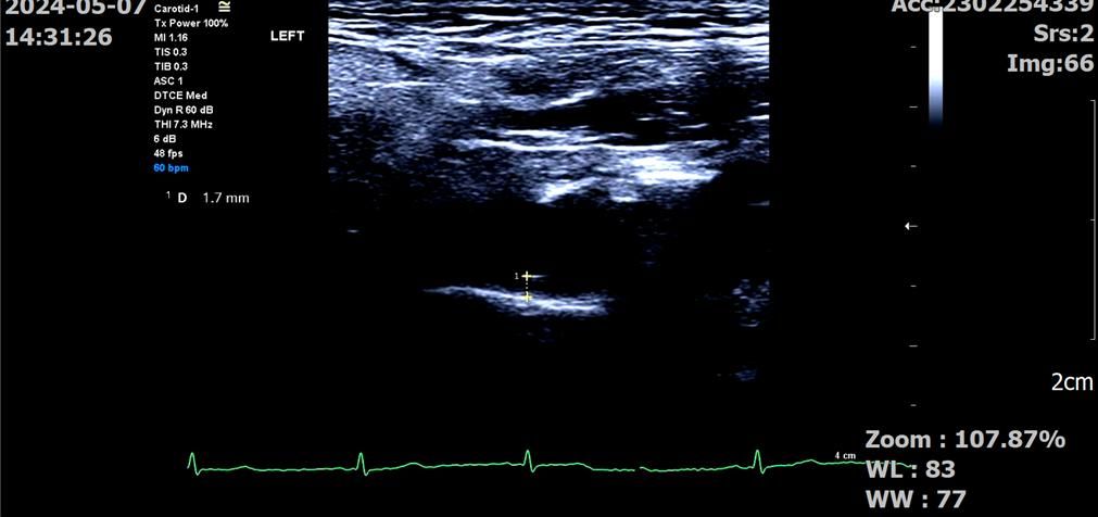
좌측 ICA

병원에서 재 주신 플라크 사이즈는

ICA: 2.0mm, 1.7mm입니다.
정상경동맥 내경을 어떻게 재는지 몰라서 되는 대로 재봤습니다.

우측 bulb 및 ICA입니다. 병원에서 측정해주신 플라크는

ICA: 1.3, 1.6, 1.4mm

bulb: 2.8, 1.7, 1.6, 1.4mm 입니다.

우측 경동맥 내경 또한 어떻게 보는 것인지 몰라서 세 군데 재봤습니다.

좌측 총경동맥입니다.

병원에서 재주신 플라크 사이즈는
CCA: 2.9 입니다.

위 영상 캡처본 기준으로 경동맥 협착률은 얼마정도라고 보아야 할지요?

  • 1번 째 사진
  • 2번 째 사진
  • 3번 째 사진
  • 4번 째 사진

아직 답변이 없어요.