아하
  • 토픽

  • 스파링

  • 잉크

  • 미션


의료상담

항상훌륭한감자칩

항상훌륭한감자칩

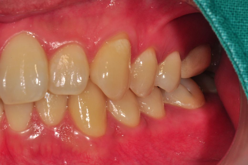
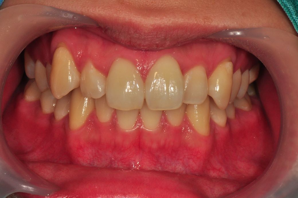
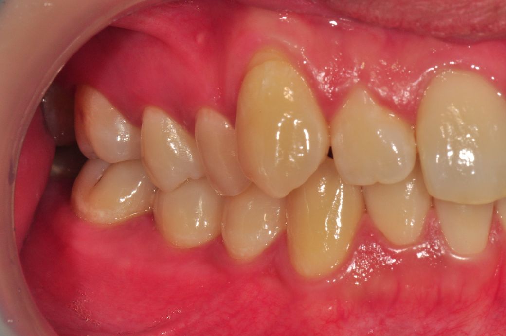
저 잇몸 퇴축이 심한편인가요? 사진첨부

제가 봤을때는 위 아래 송곳니 잇몸쪽이랑

아래 치아 중절치라고 하나요 저 밑에 가운데 치아쪽 잇몸들이 많이 사라진거 같은데

양치질을 아침에는 치실>큐라덴 큐라프록스 cs5460 칫솔로 바스법>폰즈법으로 각각 1회씩

아침에 아무것도 안 먹었다면 바스법으로 1회 양치

점심겸 저녁에는 식사후 치실>켄트 오리지널 클래식 초극세모로 바스법>폰즈법 1회씩

자기 전에는 가볍게 또 큐라덴 큐라프록스 cs5460 칫솔로 바스법으로만 1회 해주거든요

만약 음식을 뭐 먹었으면 치실도 하고 폰즈법까지 하구요

보통 양치 시간은 15~18분정도 됩니다 바스법으로만 1회 한다면 한 10분정도 걸리구요

손목에 힘을 빼고 아주 살살 닦아주는데도 뭔가 잇몸이 퇴축된거 같은데 나이는 28살이구요

치약은 불소 1000ppm 짜리 아무거나 쓰고 있습니다

  • 1번 째 사진
  • 2번 째 사진
  • 3번 째 사진
  • 4번 째 사진

4개의 답변이 있어요!

  • 최석민 치과의사

    최석민 치과의사

    강원도 원주의료원

    안녕하세요. 최석민 치과의사입니다.

    잇몸퇴축이 심한 편은 아니고 잇몸상태도 그렇게 나쁘지 않습니다. 또한 바스법 등을 활용하시는 점은 충분히 잘 관리되고 있는 것 같습니다. 1년에 한번 정기검진 및 스케일링 받으시면 되겠습니다.

  • 안녕하세요. 김철진 치과의사입니다.

    사진상으로는 잇몸이 퇴축됫거나 문제가 잇어 보이는건 없는거 같습니다. 걱정하지 않으셔도 될것같습니다.

  • 안녕하세요. 안상우 치과의사입니다.

    사진으로 봤을 경우에는 잇몸이 퇴축된 것이 심해 보이진 않습니다. 잇몸의 형태는 시야에 위치나 나와 있는 상태에 따라서 다를 수 있기 때문에 잇몸 퇴축을 방지하기 위해서는 잇몸에 너무 강한 자극을 가하지 않는 것이 좋습니다.

  • 안녕하세요. 김지훈 치과의사입니다.

    잇몸의 퇴축이 심하거나 잇몸 상태가 안좋아보이지는 않습니다. 관리를 잘하시는 것 같습니다.