아하
  • 토픽

  • 스파링

  • 잉크

  • 미션


의료상담

매일소중한집토끼

매일소중한집토끼

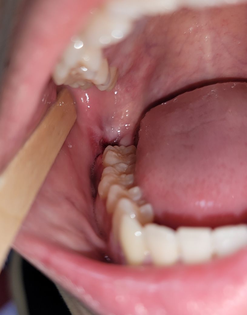
사랑니 발치 후 잇몸 실밥이 제대로 된건지 모르겠어요. 잘 아문거 맞나요? 반대쪽에 비해 너무 잘못된거 같아요

오른쪽 밑이 문제있고요 뽑은지 4~5일 됬습니다.

오늘 왼쪽도 뽑았는데 반대쪽에 비해 되게 깔끔하게 되어있어 반대쪽이 좀 이상해 보이더라고요.

실밥을 한번만 묶었는데 좀 느슨한 느낌이 있고 묶은곳에서 조금 위쪽에는 안 묶인 느낌이라 양 옆으로 절개된 잇몸이 서로 맞닫지 않아 각자 상처가 치유되는 느낌입니다.

음식물이 조금 끼던데 그냥 이렇게 냅둬도 되나요?

반대쪽이랑 비교가 너무 되서 질문합니다.

실밥 묶은 선생님은 다르셨어요.

병원에서는 이상 없다는 말 없긴 했어요

경대 치대입니다

  • 1번 째 사진
  • 2번 째 사진
  • 3번 째 사진
  • 4번 째 사진

4개의 답변이 있어요!

  • 김지훈 치과의사

    김지훈 치과의사

    메가

    안녕하세요. 김지훈 치과의사입니다.

    완전히 닫히도록 매듭이 지어지지 않습니다. 현재 사진상 잘 낫고 있는 것으로 확인이 됩니다.

  • 안녕하세요. 김철진 치과의사입니다.

    사진상으로 크게 문제가 있어 보이진 않습니다. 잇몸이 부어 잇는 상태에서 실밥을 꿰메고 나서 붓기가 빠지면 약간 느슨해 질수도 있습니다.

  • 안녕하세요. 안상우 치과의사입니다.

    발치를 하고 나서는 해당 부위를 실밥으로 꼬메는 경우가 있습니다. 이 경우 잇몸이 완전히 접합되지 않은 상태도 있지만 버려져 있는 것보단 낫기 때문에 봉합을 하게 됩니다. 해당 부위에 음식물이 들어갈 수 있지만 음식물이 들어갔을 경우에는 가볍게 가글을 해주는 것이 좋습니다.

  • 안녕하세요. 최석민 치과의사입니다.

    봉합과 상관없이 잇몸이 완전히 아물고 구멍이 없어지기 위해서는 1~2달 이상 걸리게 됩니다. 그 전까지는 음식물이 낀다면 치유에 방해가 될 수 있으므로 물로 가글을 살살해서 빼주거나 살살 양치질을 해주셔도 됩니다.