아하
  • 토픽

  • 스파링

  • 잉크

  • 미션


의료상담

숙연한비오리258

숙연한비오리258

이 앞니가 살짝 불편한데 뿌리 염증일까요?

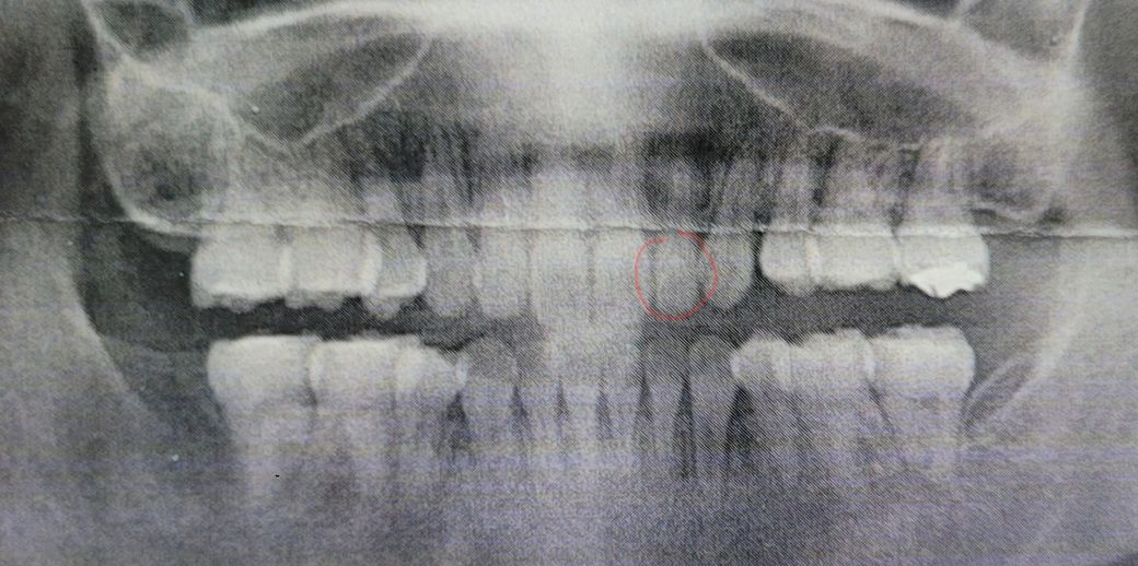
사진은 재교정 관련 상담받고 사진 인쇄해주신거 찍은거인데요 동그랗게 표시한 치아가 원래 몇달 전부터 좀 불편한 감이 있었는데 교정 상담 받고서 따로 거기서 충치나 다른말이 없으셔서 문제없는 줄 알았거는요.

근데 지금보니 저 치아 뿌리만 어둑한게 혹시 뿌리 염증인가 싶어서 질문글 올려봅니다. 따로 외상 입거나 큰 충치는 없었던 치아라서 당황스럽네요.

뿌리 염증이면 신경치료 해야겠죠..?

  • 1번 째 사진

4개의 답변이 있어요!

  • 안상우 치과의사

    안상우 치과의사

    목동안치과의원

    안녕하세요. 안상우 치과의사입니다.

    사진으로만은 정확한확인이 어려워 보입니다.

    뿌리끝에 생긴 치근단질환이라면 신경치료나 추가적이 치료가 필요할 수 있습니다.

    자세한 확인을 위해서 치과에서 진료를 받아 보는것을 권유 드립니다.

  • 안녕하세요. 김지훈 치과의사입니다.

    사진이 흐려서 잘 보이지 않습니다. 염증으로 보이지는 않지만 맞다면 보통 신경치료 합니다.

  • 안녕하세요. 김철진 치과의사입니다.

    올려주신 사진으로는 치아를 제대로 판단하기는 어려울꺼 같습니다. 치아 뿌리끝에 염증이 잇다면 신경치료를 하셔야될수도 잇을것같습니다.

  • 안녕하세요. 최석민 치과의사입니다.

    1. 파노라마 방사선 사진(큰사진)에서는 다양한 음영과 겹치는 구조때문에 왜곡이 발생하기도 합니다. 자세히 보기 위해서는 작은 방사선 사진(치근단방사선사진)을 찍어봐야 합니다.

    2. 뿌리 염증이 맞고 불편감이 있다면 신경치료 해야 합니다.