제가 어떤 선택을 하는 것이 충치예방을 위해 좋을까요?
안녕하세요.
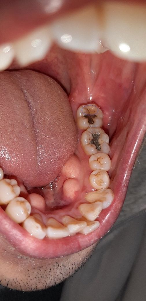
아래 사진과 같이, 왼쪽 어금니 가장 안쪽 부분(파란색 동그라미)의 아말감이 떨어져 나갔습니다.
떨어져 나간지는 꾀 됐습니다. (수년이상) 현재 충치가 있는 상태는 아닙니다.
그래서, 여러 치과(A, B, C)에 가보니, 복수의 의사들은 금 등으로 인레이를 해야한다고 합니다.
(레진으로 할 수 도 있지않느냐 하고 물어보니, 해당부분의 깊이가 얇아(낮아)서 강도가 약한
레진으로 하려면, 성한 치아를 더 깊게 파서, 거기에 레진을 채워넣어야 한다고 하면서 그러면, 치아에 무리를 줄 수 있으므로, 기존 남은 부분의 아말감을 빼버리고, 전체적으로 금 인레이를 하자고 했지만,비용부담 때문에 생각해 본다고만 했습니다.
소수(K치과)에서는, 레진등으로 채워 넣어야 하는게 아니냐고 물어보니, 마찬가지로, 성한 치아를 많이 파고 들어가야 하니 치아에 무리를 줄 수 있고, 또, 떨어져 나간곳의 깊이가 얇아(낮아)서 별다른 조치를 할 필요가 없다고 합니다.
요즘 하도 과잉진료하는 의사들이 많이 있어, 저는 K치과의 의사말이 더 신뢰가 갑니다.
제가 어떤 선택을 하는 것이 경제적이고, 과잉진료하지 않으면서, 치아건강(충지예방)을 위해 좋을까요?
(참고로, 파란색 떨어져 나간 부분은 칫솔로, 충분히 닦을 수 있는 깊이의 부분입니다.)
안녕하세요 아하(Aha) 의료, 코로나 카테고리에서 활동중인 전문의입니다.
원칙상 아말감이 떨어져 나간 충치에는 금으로 충전을 하는것이 장기적으로 보았을 때
신경손상 등을 예방하여 더 경제적이라고 할 수 있습니다.
단기적으로는 금이 더 비싸게 여겨질 수는 있습니다.
참조하시어 도움이 되기를 바랍니다.

