아핫뉴스실시간 인기검색어
아핫뉴스 화산 이미지
화산 아이콘 11
비트코인 하락 전환
아하

의료상담

치과

조신한황로194
조신한황로194

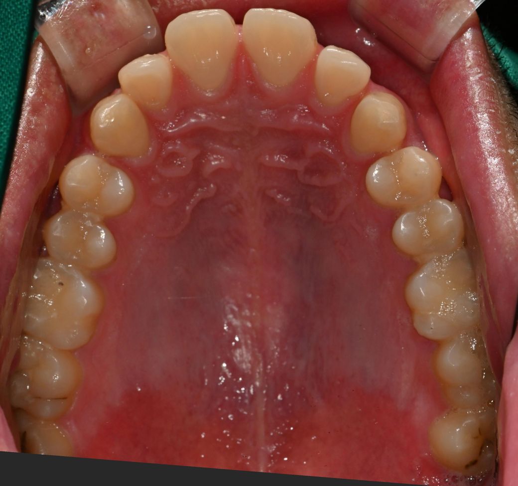
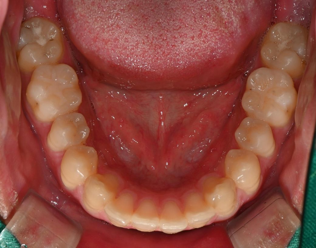
인레이가 필요하다는데 그정도로 심한가요?

오늘 치과 2곳에서 원장님이 어금니 인레이가 필요한 충치가 있다고 하셨습니다. 위 사진에서 조금 긁어보시더니 C1 C2충치가 각각 있다는데, 어금니의경우 상아질에 접근한 충치의 범위가 커 보인다고 인레이를 하는게 좋겠다 하십니다. 특히 어금니는 씹는면 음영상 내부우식쪽으로 간거같다 하시는데 그정도로 제 충치상황이 악화된건가요? 파봐야 안다고하시든데 통증은 전혀 없지만 인레이 중 신경치료가능성이있나요?

  • 1번 째 사진
  • 2번 째 사진
  • 3번 째 사진
4개의 답변이 있어요!
  • 우식 여부는 먼저 충치를 제거해봤을 때 가장 정확히 알 수 있으며 파노라마 사진으로 진단을 하는데에는 한계가 있습니다. 다른 치과도 가보셔도 됩니다.

  • 안녕하세요 치과의사 김철진입니다. 예전에 치료를 햇던곳의 범위가 넓어서 인레이를 설명하신거 같습니다. 인레이를 하게되면 치아 삭제량이 많기 때문에 시리거나 불편하면 신경치료를 해야될 가능성이 있습니다.

  • 청취의 범위가 넓다면 인레이 치료를 해야 하는 경우도 있습니다. 충치의 여부는 방사선사진이나 일반적인 사진으로는 구분하기 힘든 경우도 있기 때문에 정확한 확인 위해서는 치과에서 진료를 받아보는 것이 좋습니다.

    1. 충치 깊이에 대한 판단은 큰 사진보다는 작은방사선사진(치근단사진)이 필요합니다

    2. 인레이 시 늘 신경치료 가능성은 있습니다 충치가 깊기 때문입니다