아핫뉴스실시간 인기검색어
아핫뉴스 화산 이미지
아하

의료상담

신경과·신경외과

꼼꼼한제비252
꼼꼼한제비252

엑스레이 연한 흰 선 의미는 무엇인가요?

성별
여성
나이대
영유아
기저질환
없음
복용중인 약
없음

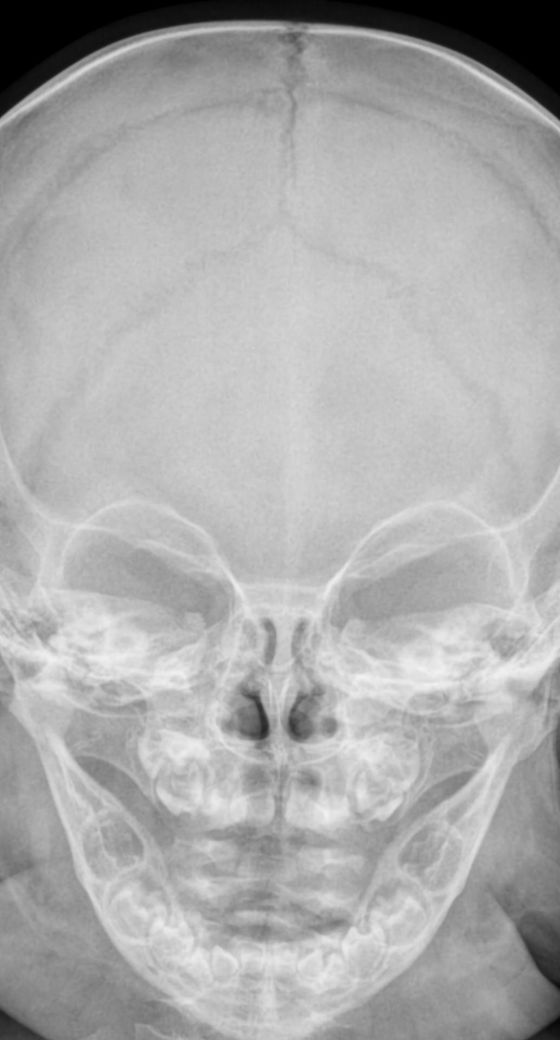
6개월 아기입니다.

엑스레이 전두 봉합선이 비교적 연해 보이는데 맞나요?

연한 흰선이라면 붙은지 오래된건가요?

아니면 비교적 최근에 붙은 것으로 해석할 수 있나요?

  • 1번 째 사진
1개의 답변이 있어요!
  • 어떠한 것을 이야기 하시는 것인지 모르겠습니다. 올리신 두개골 엑스레이 사진에는 딱히 이상 소견이 보이거나 하지는 않긴 합니다.