아하
  • 토픽

  • 스파링

  • 잉크

  • 미션


의료상담

공정한조롱이298

공정한조롱이298

폐렴 엑스레이 변화문의 가래색문의.

성별

여성

나이대

60

기저질환

고혈압

복용중인 약

혈압약

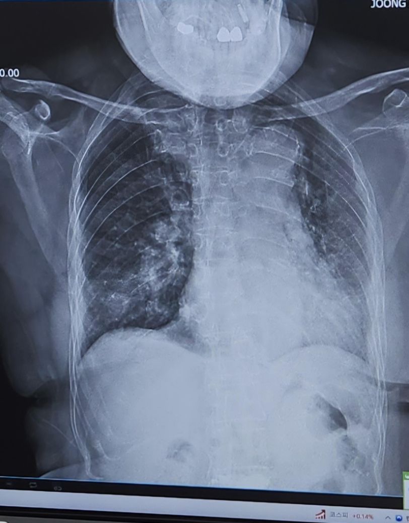
폐렴 엑스레이 변화문의입니다.

일주일전 찍은사진과 일주일후사진입니다.

각각 다른병원에서 촬영하였고

일주일전에 가래색은 초록색이었으며

지금은 연노랑색으로 바뀌었습니다.

일주일전에는 쌕쌕거림이 심하셨고

지금은 조금나지만 전보단 나아지셨습니다.

임상변화와 엑스레이는 일치하지않는지도

궁금합니다. 일주전보다 엑스레이가 심해졌는지도

궁금합니다. 위사진이 일주전 아래가 일주후 입니다

  • 1번 째 사진
  • 2번 째 사진

1개의 답변이 있어요!

  • 김수비 의사

    김수비 의사

    QUB

    안녕하세요. 김수비 의사입니다.

    엑스레이로는 좋아진걸로 보이진 않습니다

    우선 폐렴의 엑스레이 소견과 임상 증상(기침, 가래, 호흡곤란 등)은 반드시 일치하지 않을 수 있습니다. 환자의 증상이 호전되었더라도 엑스레이에서는 염증이 여전히 남아 있거나 심하게 보일 수도 있습니다. 이는 폐 조직의 회복 속도가 느리기 때문이며, 폐렴이 회복되는 과정에서도 폐 조직 내에 염증 흔적이 남아 있을 수 있습니다. 반대로, 엑스레이에서 크게 변화가 없어 보여도 환자의 증상이 뚜렷이 호전될 수도 있습니다.

    이래서 엑스레이만으로 폐렴 상태를 정확하게 판단 할 수 없다는 거에요

    가래 색의 변화(초록색 → 연노랑색)는 염증이 줄어들면서 가래의 농도가 옅어지는 과정일 가능성이 높습니다. 초록색 가래는 보통 세균 감염이 활발한 시기에 나타나며, 연노랑색 가래는 염증이 줄어드는 과정일 수 있습니다. 하지만 정확한 폐렴의 진행 상태를 판단하려면 엑스레이 변화뿐만 아니라 혈액 검사(CRP, 백혈구 수치 등)나 산소포화도 등을 종합적으로 평가해야 합니다.

    추가적인 진료나 검사가 필요할 수도 있으므로 주치의와 상의하는 것이 좋습니다