아하
  • 토픽

  • 스파링

  • 잉크

  • 미션


의료상담

라라핑

라라핑

24.11.15

어금니 뒤 통증이 있어서 보니까 뭔가 튀어나와있어요

왼쪽 어금니 뒤에가 아파서 보니 뭔가 부어있는듯한게 있는데 단순염증인가요? 아니면 사랑니가 나오고 있는건가요? 왼쪽에 사랑니가 있다고 듣긴 했습니다.

진통소염제 애드빌 먹고있는데 그래도 아프면 치과에 가야할까요? 참고로 경구피임약 복용중입니다.

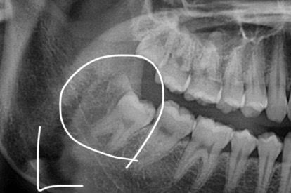
이전에 찍은 엑스레이 사진도 첨부합니다.

  • 1번 째 사진
  • 2번 째 사진
  • 3번 째 사진
  • 4번 째 사진

3개의 답변이 있어요!

  • 김지훈 치과의사

    김지훈 치과의사

    메가

    24.11.16

    안녕하세요. 김지훈 치과의사입니다.

    사랑니도 원인이 될 수 있으며 염증으로 인한 붓기 가능성이 있어보이며 치과 가보시는 게 좋겠습니다.

  • 안녕하세요. 김철진 치과의사입니다.

    사진에 보이는 부분은 사랑니가 매복되어 잇는 거 같습니다. 사랑니 떄문에 잇몸이 약간 튀어 나온거 같습니다.

  • 안녕하세요. 최석민 치과의사입니다.

    잇몸은 호르몬상태에 따라 영향을 받기도 하고 전신건강의 영향을 받기도 합니다 꼭 사랑니때문에 생긴 치관주위염이 아닐 수도 있습니다