아핫뉴스실시간 인기검색어
아핫뉴스 화산 이미지
화산 아이콘 11
김경 공천헌금 의혹 수사
아하

의료상담

치과

냉엄한콜리175
냉엄한콜리175

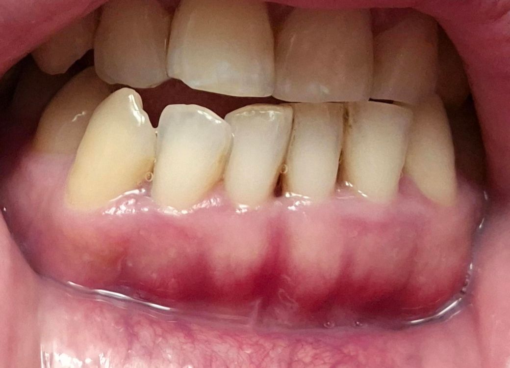
앞니가 벌어지기 시작하고 잇몸도 줄어드는 듯한데 갑자기 왜 그런걸까요?

안녕하세요.

갑자기 앞니가 벌어지기 시작하고

잇몸도 줄어드는 듯한데

갑자기 왜 그런걸까요?

어떤 원인이 있는지 궁금합니다.

왜 그런걸까요?

어떤 치료가 필요할까요?

  • 1번 째 사진
  • 2번 째 사진
  • 3번 째 사진
1개의 답변이 있어요!
  • 안녕하세요. 최석민 치과의사입니다.

    치간유두라고 하는 치아 사이 잇몸이 주저앉으면서 틈이 생기는 겁니다 30~40대부터 시작되는 잇몸 노화의 현상이기도 하고 잇몸상태가 안좋으면 그럴 수도 있습니다 일단 잇몸 케어 치과에서 받으시고 상태가 좀 호전되면 치간사이 레진으로 메꿔보세요