아핫뉴스실시간 인기검색어
아핫뉴스 화산 이미지
화산 아이콘 11
쿠팡 투자사 美정부 조사 요청
많이 본
아하

의료상담

치과

탈퇴한 사용자
탈퇴한 사용자

어금니 끝부분에 검은색으로 뭔가 나있는데 이거 뭔가요?


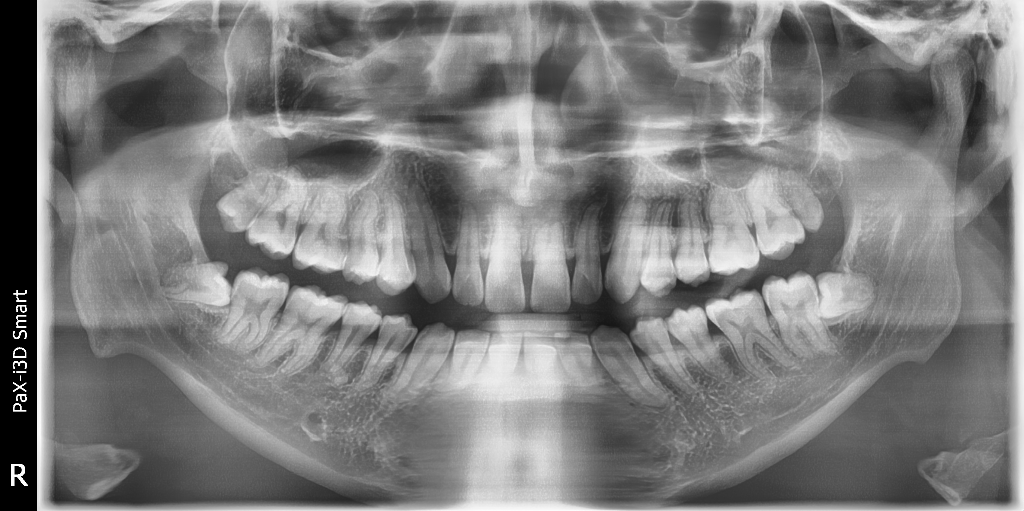
이게 무엇인지 알려주셨으면 감사하겠습니다 혹시 사랑니가 썩게된건지 참고로 가끔 이 부위가 통증을 일으킵니다. 파노라마 사진도 함께 첨부해서 보내드리니 친절한 답변 부탁드려요



  • 1번 째 사진
  • 2번 째 사진
6개의 답변이 있어요!
  • 안녕하세요. 송우식 치과의사입니다.

    현재 사랑니에 충치가 발생한 것으로 보이며, 이 경우 사랑니를 발치하길 권합니다. 따라서 정확한 상태 확인을 위해 치과 진료를 받길 권합니다.

    궁금증 해소에 도움이 되시길 바라며, 도움이 되신 경우 '추천' 부탁드립니다.

  • 안녕하세요. 김지훈 치과의사입니다.

    사랑니가 잇몸 밖으로 튀어나오면서 생긴 것으로 보이며 사랑니가 좋지 않으니 발치 하는 게 좋겠습니다.

  • 안녕하세요. 정경호 치과의사입니다.

    부분 맹출된 사랑니에 음식물이 자주 끼고 구강위생관리가 되지 않아 충치가 생긴 것으로 보입니다. 가끔 통증을 일으키는 것은 사랑니 치아머리 주위의 잇몸에서 염증이 발생하는 치관주위염 때문일 수 있습니다. 치과에서 검진받으시고 사랑니 발치하는 것을 권유드립니다.

  • 안녕하세요. 김철진 치과의사입니다.

    사랑니가 잇는부분에 사랑니가 일부분만 노출되서 그부위에 음식물이 꼇거나 염증이 생겻을 가능성이 높아 보입니다.

  • 안녕하세요. 최석민 치과의사입니다.

    방사선 사진상 사랑니가 충치가 생긴 것 같지는 않으나 해당 부위 사랑니의 부분 매복으로 인해 잇몸이 벌어져 있고 잇몸도 부어있는 상태입니다.

    부분 매복 사랑니는 향후 문제를 일으킬 여지가 많으므로 예방적으로 발치를 권합니다.

  • 안녕하세요. 안상우 치과의사입니다.

    사진으로 봤을 경우에는 사랑니가 부분적으로 맹출되고 있는 것으로 보입니다. 사랑니가 기울어져 나있을 경우 해당 부위에 이물질이 끼게 되어 주변 조직에 염증이나 충치를 일으켜 발치를 해주는 것이 좋을 수 있습니다.