아하
  • 토픽

  • 스파링

  • 잉크

  • 미션


의료상담

krdondon

krdondon

채택률 높음

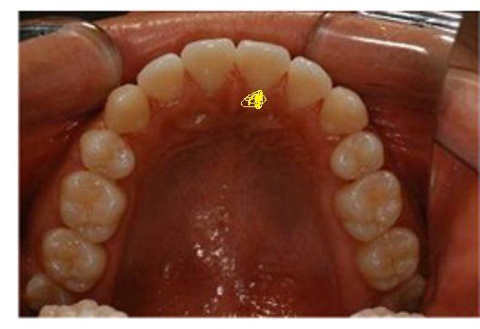
치아 41,31 부분 아래 부분이 자꾸.. 잇몸이.

잇몸이 퇴출 되고요. 거기에 치석이 자주 끼는 것 같고 제가 노랑 표시 한 곳이요. 저 부분 관리가 힘들어요.

잘 닦는다고 하지만 항상 그렇더라고요.

치실로도 저 부위까지 가진 않더라고요 사이는 할수 있어도 말이죠.

오직 칫솔질로만 해야 하는대.

아무리 닦아도 잘 안 닦겨서 치석이 끼느라고 날카워 지고 하더라고요 끝 부분이 말이죠.

저 부분은 어떻게 관리 해야 할까요?

  • 1번 째 사진

7개의 답변이 있어요!

  • 정주경 치과의사

    정주경 치과의사

    안녕하세요. 정주경 치과의사입니다.

    질문자님처럼

    치석이 잘 생기시는분들이 있습니다.

    침 성분에 인과 칼슘이 많이 들어있는 분들이 있으신데, 그렇게 되면 인과 칼슘이 침전반응을 일으켜 치석이 잘 생기게 되는것입니다.

    이러한 이유로 치석이 잘 생기시는 분들은 1년에 2~4번 정도 스케일링을 하시는것을 추천드립니다.

    스케일링에 의한 치아 불편 증상(시린증상, 깨진느낌, 통증생김)은 스케일링의 문제라기 보다는 보통 치석제거 에 의한 것인 경우가 많습니다.

    또한 잇몸자체에 염증이 많았던 경우, 스케일링으로 염증부분을 어느정도 제거하기 때문에 스케일링 이후에 오히려 더 통증이 생길 수 있습니다.

  • 안녕하세요. 이구화 치과의사입니다.


    스케일링을 하시는게 좋아보입니다.

    최소 1년에 1번정도는 하시는것이 좋으십니다만,

    2번정도 하시는것을 권유드립니다.

    보통 치석 균이 달라붙는데 3~6개월정도가 걸리기 때문입니다. 치석에 달라붙은 균들이 구강에 해를 입히게 하지 않기 위해서 6개월에 한번정도는 스케일링을 하시라고 권유드리는것입니다.

  • 안녕하세요. 정진석 치과의사입니다.

    보통은 치석이 끼게 되면 주기적으로 스케일링을 하는 방법 밖에 없습니다. 다만 지금과 같이 지속적으로 치석이 끼고 날카롭게 형성된다면 해당 부위를 레진으로 수복하여 치석이 끼일 수 있는 부분을 차단하는 것도 방법입니다. 따라서 가까운 치과 방문 후 현재의 사정을 말씀해보시고 적절한 처치를 받는 것이 필요해보입니다.

    아무쪼록 저의 답변이 문제 해결에 작게 나마 도움이 될 수 있기를 기원드립니다. 항상 건강하고, 행복하세요^^

    정진석 치과의사 드림

  • 안녕하세요. 김바른 치과의사입니다.

    해당 부위는 양치질로만 접근이 가능합니다. 다른 방법으로는 닦아주는 것이 불가능합니다.

    또한 양치질을 아무리 잘하더라도 치석이 일정부분 생기는 것은 막을 수 없습니다.

    따라서 주기적인 스케일링과 잇몸치료가 반드시 필요합니다.

  • 안녕하세요. 이효상 치과의사입니다.

    네 잘 칫솔질이 안되는 자리이긴 합니다.

    구강세정기등을 이용하는것도 방법이고

    스케일링을 하는것도 방법입니다.

    스케일링을 하게되면 치아 주변의 치석을 제거하는 효과가 있습니다.

    (치석이 있게 되면 잇몸과 치아 자체의 건강에 좋지 않습니다. )

    보통 최소 1년에 한번씩은 보험이 되시니, 1년에 한번씩은 꼭 스켈링을 하시라고 말씀을 드립니다.

    그러나, 교과서적으로 말씀을 드리면 3~6개월에 한번씩 해주셔야합니다.

    스케일링시 피가 많이 난다는것은 안쪽에 염증이 많이있음을 의미하므로

    잇몸건강에 유의하셔야합니다.

  • 안녕하세요. 김철진 치과의사/경제·금융전문가입니다.

    구강내에서 치석이 가장 잘생기는 부위입니다. 하악 전치 쪽에는 침샘이 있어서 치석이 잘생깁니다. 양치하실때 칫솔을 세워서 닦으시고 정기적으로 치과가셔서 치석이 있으면 제거하는게 가장좋은 방법입니다

  • 안녕하세요. 이정현 치과의사입니다.

    31,41이라면 아래치아의 중앙치아를 의미합니다.

    이 부위는 치석이 잘 끼는 부위입니다. 칫솔모를 수직으로 세워서 하면 칫솔질이 가능합니다.

    하지만, 아무리 양치질을 잘해도 저 부위는 치석이 가장 잘 끼는부위이기 때문에, 결국엔 스케일링을 자주 받으셔야 합니다. 감사합니다.