아하
  • 토픽

  • 스파링

  • 잉크

  • 미션


의료상담

조용한직박구리210

조용한직박구리210

치과 충치 치료가 필요한 상황인가요?

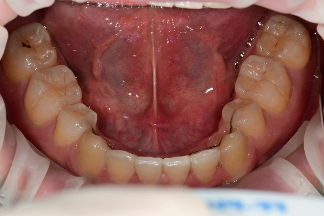
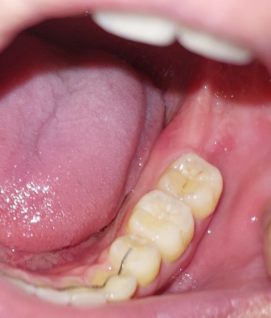
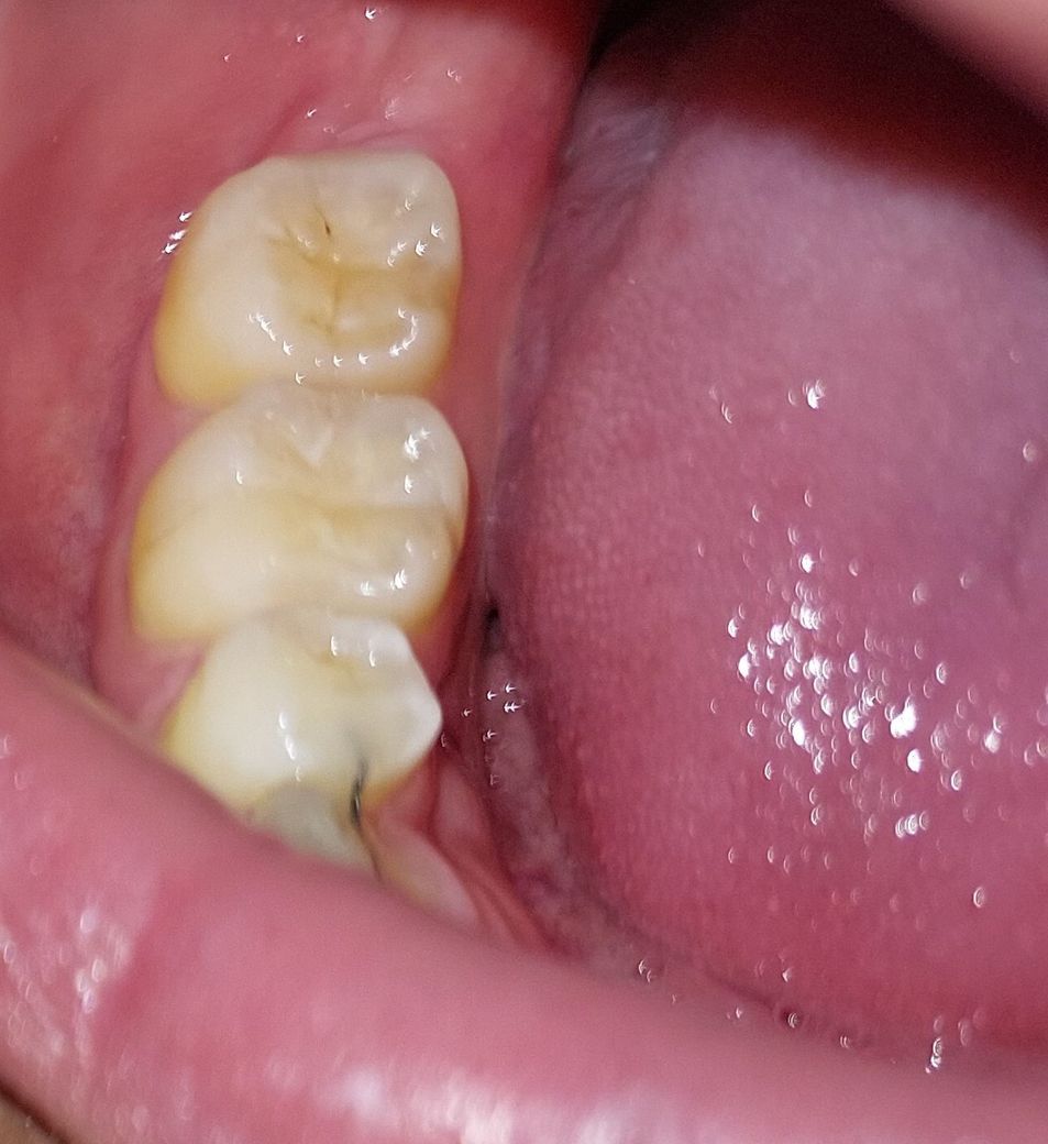
병원가서 진료봤는데 첫사진이 병원에서 찍어준 사진이고 충치 치료해야한다고 하는데요

근데 제가 집에 와서 카메라로 찍으니깐 오른쪽 어금니(사진상 왼쪽)에 있는 큰 검은색부분이 안보여서 이거 그냥 음식물 낀거같은데 이정도면 충치 치료할필요 전혀 없는 수준이죠?

  • 1번 째 사진
  • 2번 째 사진
  • 3번 째 사진

4개의 답변이 있어요!

  • 안상우 치과의사

    안상우 치과의사

    목동안치과의원

    안녕하세요. 안상우 치과의사입니다.

    사진으로 봤을 경우 큰 충치가있어 보이지는 않습니다.

    크게 문제가 되지 않을것으로 생각되나 자세한 확인을 위해서 치과에서 진료를 받아 보는것을 권유드립니다.

  • 안녕하세요. 김지훈 치과의사입니다.

    선생님마다 조금씩 견해의 차이가 나타날 수 있어보입니다. 저같은 경우엔 좀 더 지켜볼 것 같습니다.

  • 안녕하세요. 김철진 치과의사입니다.

    초기 충치가 잇는거 같으니 관리를 잘하시는게 좋을것같습니다. 정기적으로 치과를 다니시면서 관리를 받으세요.

  • 안녕하세요. 최석민 치과의사입니다.

    두번째 사진이 현 상태라면 충치가 있더라도 깊은건 아닌듯 하고 치료보다는 주기적으로 체크하며 지켜보면 좋을 것 같습니다