아핫뉴스실시간 인기검색어
아핫뉴스 화산 이미지
화산 아이콘 11
비트코인 가격 상승 기대
아하

의료상담

치과

되알진발발이240
되알진발발이240

사랑니 발치후 다른 치아 인접면 충치치료 가능 시기는 언제인가요?

어제 사랑니 4개를 발치하였는데요

오른쪽 송곳니 옆에 인접면 충치가 있더라구요.

사랑니 발치 후 충치 치료는 언제부터 받을 수 있을까요?

또 현재 충치가 시리거나 아픈 증상이 없는데 신경치료가 필요할까요?

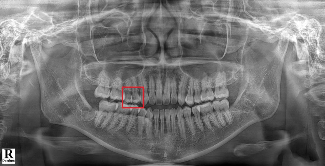
  • 1번 째 사진
3개의 답변이 있어요!
  • 안녕하세요. 송우식 치과의사입니다.

    사랑니 뽑은 후 1주일 후에 실밥 푸니, 1주일 이후에는 치료하면 됩니다. x ray 사진상에서 충치 많이 진행되지 않은 것으로 보이니 신경치료까지는 안해도 될 것으로 보입니다.

  • 안녕하세요. 김철진 치과의사입니다.

    사진상으로 보면 충치가 꽤 깊어 보입니다. 신경치료 가능성이 있어 보입니다. 사랑니 발치후 1-2주 정도 지나시면 치료를 받으셔도 됩니다.

  • 안녕하세요. 김지훈 치과의사입니다.

    일주일 후에 실밥을 푸신 후에 바로 치료를 하실 수 있습니다. 신경치료 여부는 충치의 범위에 따라 다르며 충치를 제거해봐야 알 수 있습니다.