아핫뉴스실시간 인기검색어
아핫뉴스 화산 이미지
화산 아이콘 11
李대통령 이해찬 조문
아하

의료상담

치과

참신한까마귀249
참신한까마귀249

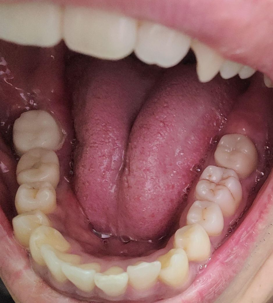
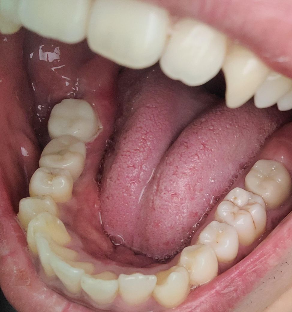
치과 임시치아 후 잇몸경계선 하얗게 변함

좌측 하악 맨뒤 어금니 신경치료 다 받고나서 어제 인상채득 후 본뜨고 임시치아 했는데 잇몸주변 하얀부분이 까진것같은데 잇몸이 아프긴합니다. 사진 밝게 다시찍었는데 추가처치 받으러가야 할까요?

  • 1번 째 사진
  • 2번 째 사진
1개의 답변이 있어요!
  • 안녕하세요. 최석민 치과의사입니다.

    며칠 기다려보고 그래도 불편하거나 하면 치과를 가보시고요. 아니면 그냥 최종 보철물 나오는 날 가셔서 잇몸 관련 불편했던 사항 말씀하시면 되겠습니다.

    1명 평가