아하
  • 토픽

  • 스파링

  • 잉크

  • 미션


의료상담

야키디

야키디

앞니 크라운 하기전에 재신경치료 안해도될까요?

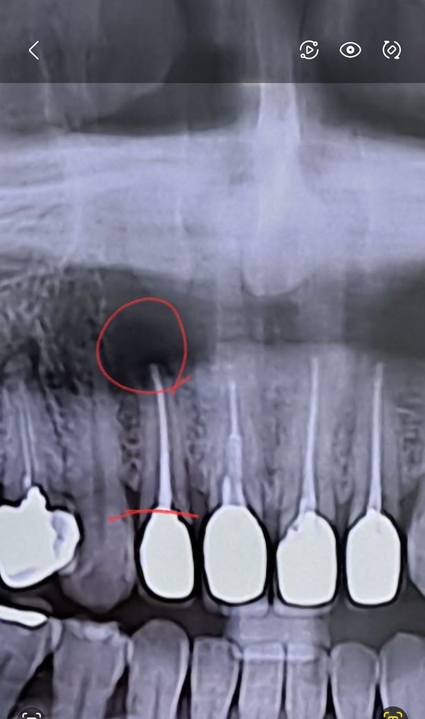
옉스레이상 빨간동그라미 친부분 염증이맞나요??

토요일날 크라운했던 앞니가 부러져서 오늘치과갔더니


안에도 충치가심하지만 다갈아내서 안에 치간이랑 보고

살려서 써보자고

하셨는데 다시 살려서 쓰려면 재신경치료후에 잇몸 아무는것

보고 포스트세워서 보철해야하는거 아닌가요??


그냥 씌우면 또 금새 약해져서 썩고 부러지는건아닌가요?

이게지금 두번째부라진건데 각자다른의사분들이었는데

대체 빨간 동그라미친 염증은 재신경치료를 왜안하고 씌우는지

모르겠네요 확률이 반반인들 실패면임플하고 성공하면

관리잘해서 평생 쓸수있는거 아닌가요

아니면 신경치료실패우려도있어서 고름있는채로

몇년더쓰다가 임플란트가 나은걸까요??

제가 임플란트는 최후고 이빨살려쓰고싶다고

하긴했어요.치과 선생님같으시면

어떤결정이 맞는걸까요

그리고 저이빨만 잇몸이 이빨과 경계라인이

푸르스름해요 딱히통증은 없었습니다.

  • 1번 째 사진

2개의 답변이 있어요!

  • 김철진 치과의사

    김철진 치과의사

    가까운우리치과

    안녕하세요. 김철진 치과의사입니다.

    파노라마 사진상으로는 확인이 안됩니다. 저부분은 코떄문에 저렇게 보이는경우도 있습니다.

  • 안녕하세요. 송우식 치과의사입니다.

    X-ray 상 염증이 크지 않아 보이며, 현재 통증이나 고름이 없는 상태라면 재 신경치료 없이 크라운진행이 가능하기도 합니다. 하지만 염증이 있는지 다시 한번 치과에 방문하여 확인을 해보고, 재신경치료 여부를 결정하길 권합니다.

    만족스러운 답변되셨으면 합니다.

    <평가> 감사합니다.