의료상담
사랑니 뽑았던 쪽에 하얀 무언가가 자랐어요
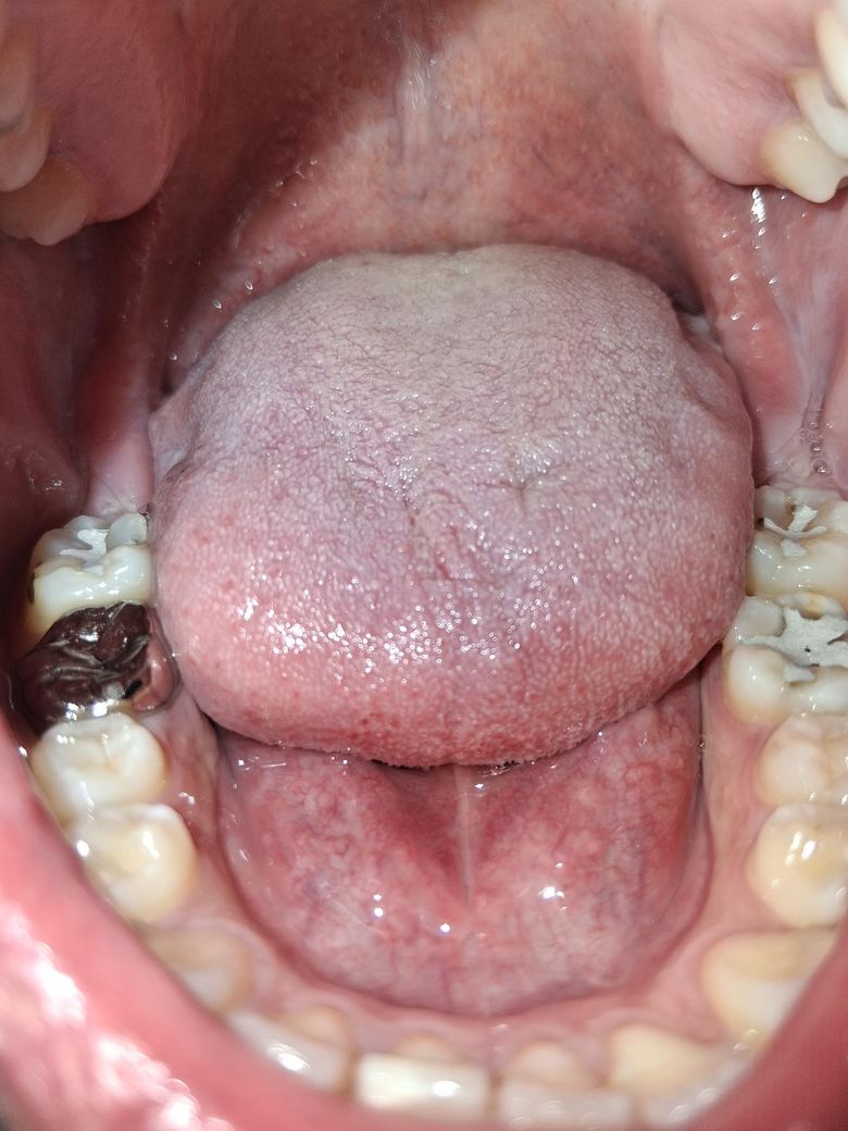
어제부터 씹을 때 아파서 보았더니 몇 년 전에 사랑니 뽑았던 자리에 하얀색 무언가가 자랐습니다.
가만히 있을 땐 안아프고 어금니 꽉 깨물거나 씹을 때 통증이 있습니다. 며칠있으면 통증이 사라질까요?
아니면 치과에 가야할까요?
55글자 더 채워주세요.
4개의 답변이 있어요!
안녕하세요. 김철진 치과의사입니다.
아마 잇몸이 치아에 씹히면서 생긴 상처 같습니다. 잇몸이 자라서 그런거 같으니 계속해서 불편하면 잇몸을 조금 절개 하는 시술을 하시면될것같습니다.
안녕하세요. 안상우 치과의사입니다.
사랑니를 발췌한 무의 잇몸이 하얗게 보이는 원인은 여러 가지가 있을 수 있습니다. 그 중에서 하나가 위쪽에 있는 치아가 아래에 있는 잇몸을 눌렀을 경우에도 불편감이 있을 수 있습니다. 이런 경우 잇몸을 누르는 부분을 다듬어주거나 잇몸을 누르는 사랑니를 발치한다면 해당 증상이 줄어들 수 있습니다.
자세한 확인을 위해서 치과에서 진료를 받아보는 것을 권유드립니다.
안녕하세요. 김지훈 치과의사입니다.
사진만 봤을 때에는 구강 내 상처가 생긴 것으로 보입니다. 며칠 지켜보시고 계속 불편시 치과 가보시면 됩니다.
안녕하세요. 최석민 치과의사입니다.
잇몸과 볼쪽에 궤양성 병소가 보이긴 하는데 사진만 봐서는 정확한 진단은 어렵습니다. 구강내과 가보시기 바랍니다.

