아하
  • 토픽

  • 스파링

  • 잉크

  • 미션


의료상담

보통은일찍자는베이글

보통은일찍자는베이글

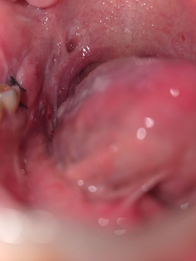
사랑니 발치후 안쪽 하얀색 통증...

사랑니 양촉 매복을 발치 후 이상하게 잇몸 안쪽으로 하얀색으로 보이는게 있더라고요..통증도 있는데 이건 뭘까요?

드라이소켓일까요,

  • 1번 째 사진
  • 2번 째 사진

4개의 답변이 있어요!

  • 김철진 치과의사

    김철진 치과의사

    가까운우리치과

    안녕하세요. 김철진 치과의사입니다.

    사진상으로 보면 사랑니 발치한곳이 잇몸이 아물면서 생기는 자연스러운 현상이니 너무 걱정하지마세요.

  • 안녕하세요. 김지훈 치과의사입니다.

    사진상으로는 특별히 문제가 보이지는 않습니다. 지금처럼 관리해주시면 될 것 같습니다.

  • 안녕하세요. 안상우 치과의사입니다.

    사랑니를 발치하는 과정에서 잇몸에 자극이 있다면 사진처럼 하얀색으로 보일 수 있습니다. 잇몸에 생긴 자극은 대부분 시간이 지나면서 줄어들기 때문에 너무 걱정하지 않아도 됩니다.

  • 안녕하세요. 최석민 치과의사입니다.

    염증이 다소 생긴 것 같습니다. 발치 후 처방받은 항생제 약 남은거 있으면 복용하시고요. 드라이소켓의 양상은 아닙니다.